免费电话:400-9961-933
邮箱:info@sabbiotech.com
欢迎光临本站
川博智能体 English
位置: 首页 > 多克隆抗体 > NDUFB5 antibody

NDUFB5 antibody#22342

是否有货: 有货
产品详情

产品名称NDUFB5 antibody

来源种属Rabbit

克隆性Polyclonal

纯化Purified by antigen-affinity chromatography.

应用WB IHC IF

种属反应性Human

免疫原类型Peptide

免疫原描述Synthetic peptide contain a sequence corresponding to a region within amino acids 126 and 189 of human NDUFB5

基因/蛋白名称NDUFB5

标记Unconjugated

数据库入口号NCBI Gene ID: 4711
NCBI mRNA#: NM_002492
NCBI Protein#: NP_002483

浓度0.4mg/ml

配方Supplied in 0.1M Tris-buffered saline with 10% Glycerol (pH7.0). 0.01% Thimerosal was added as a preservative.

保存Store at -20˚C for long term preservation (recommended). Store at 4˚C for short term use.

应用详情
Predicted MW: 22kd
Western blotting: 1:500-1:3000
Immunohistochemistry: 1:50-1:500
Immunofluorescence: 1:100-1:200
Sample (30 ug of whole cell lysate)
A: Molt-4
12% SDS PAGE
Primary antibody diluted at 1: 1000
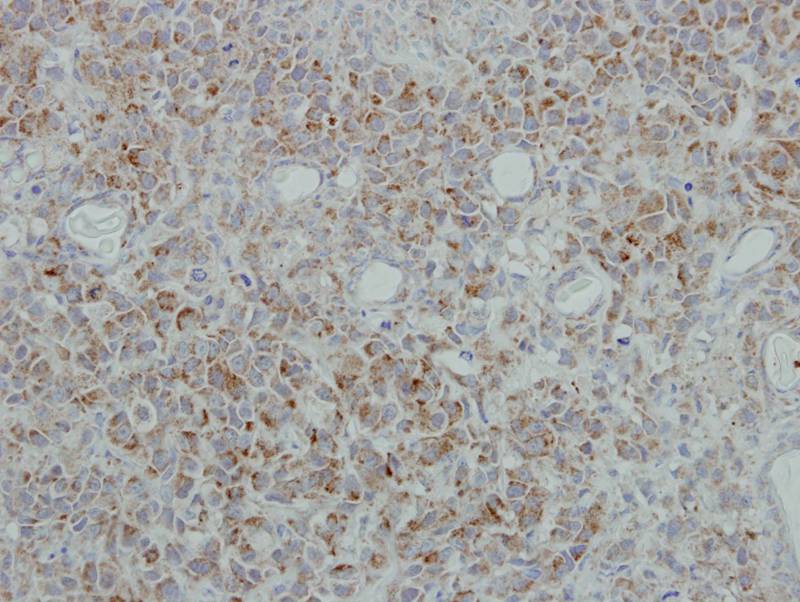
Immunohistochemical analysis of paraffin-embedded HBL435 xenograft, using NDUFB5 antibody at 1: 500 dilution.
Immunofluorescence analysis of methanol-fixed HeLa, using NDUFB5 antibody at 1: 200 dilution.
The protein encoded by this gene is a subunit of the multisubunit NADH:ubiquinone oxidoreductase (complex I). Mammalian complex I is composed of 45 different subunits. It locates at the mitochondrial inner membrane. This protein has NADH dehydrogenase activity and oxidoreductase activity. It transfers electrons from NADH to the respiratory chain. The immediate electron acceptor for the enzyme is believed to be ubiquinone. [provided by RefSeq]

如果您使用该产品22342发表了文章,请通知我们,让我们可以引用您的文献。

et al,analysis: an analysis based on the European spontaneous adverse event reporting system , (2025),
PMID: 39877384

注释

应用

  • WB免疫印迹
  • IHC免疫组化
  • IF免疫荧光
  • ICC免疫细胞化学
  • FC流式细胞
  • IP免疫沉淀
  • E酶联免疫吸附法
  • DB免疫斑点法
  • ChIP染色质免疫沉淀
  • GICA胶体金免疫层析法
  • NC阴性对照

种属反应性

  • Hu
  • Ms小鼠
  • Rt大鼠
  • Dm果蝇
  • C线虫
  • Mk
  • Rb
  • B
  • D
  • P
  • Hm仓鼠
  • ChHm中国仓鼠
  • Chk
;

联系我们

Location :

南京市高新开发区星火路10号人才大厦C座

Phone :

400-9961-933
025-58868422

Email Address

info@sabbiotech.com