免费电话:400-9961-933
邮箱:info@sabbiotech.com
欢迎光临本站
川博智能体 English
位置: 首页 > 多克隆抗体 > TRPM2 antibody

TRPM2 antibody#22689

是否有货: 有货
产品详情

产品名称TRPM2 antibody

来源种属Rabbit

克隆性Polyclonal

纯化Purified by antigen-affinity chromatography.

应用WB IHC

种属反应性Human

免疫原类型Recombinant protein

免疫原描述Recombinant protein fragment contain a sequence corresponding to a region within amino acids 181 and 393 of TRPM2

基因/蛋白名称TRPM2

标记Unconjugated

数据库入口号NCBI Gene ID: 7226
NCBI mRNA#: NM_003307
NCBI Protein#: NP_003298

浓度1.2mg/ml

配方Supplied in 0.1M Tris-buffered saline with 10% Glycerol (pH7.0). 0.01% Thimerosal was added as a preservative.

保存Store at -20˚C for long term preservation (recommended). Store at 4˚C for short term use.

应用详情
Predicted MW: 171kd
Western blotting: 1:500-1:3000
Immunohistochemistry: 1:100-1:500
Sample (30 ug of whole cell lysate)
A: Hep G2
7.5% SDS PAGE
Primary antibody diluted at 1: 500
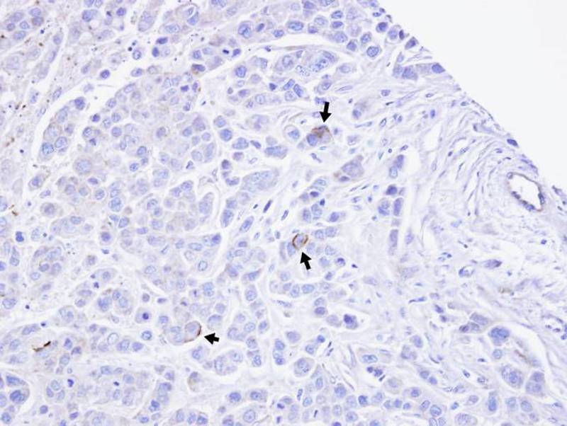
Immunohistochemical analysis of paraffin-embedded MDAMB468 xenograft, using TRPM2 antibody at 1: 100 dilution.
The protein encoded by this gene is a calcium-permeable cation channel that is regulated by free intracellular ADP-ribose. The encoded protein is activated by oxidative stress and confers susceptibility to cell death. Several alternatively spliced transcript variants of this gene have been described, but their full-length nature is not known. [provided by RefSeq]

如果您使用该产品22689发表了文章,请通知我们,让我们可以引用您的文献。

et al,TNF inhibitors target a mevalonate metabolite/TRPM2/calcium signaling axis in neutrophils to dampen vasculitis in Behçet’s disease , (2024),
PMID:

注释

应用

  • WB免疫印迹
  • IHC免疫组化
  • IF免疫荧光
  • ICC免疫细胞化学
  • FC流式细胞
  • IP免疫沉淀
  • E酶联免疫吸附法
  • DB免疫斑点法
  • ChIP染色质免疫沉淀
  • GICA胶体金免疫层析法
  • NC阴性对照

种属反应性

  • Hu
  • Ms小鼠
  • Rt大鼠
  • Dm果蝇
  • C线虫
  • Mk
  • Rb
  • B
  • D
  • P
  • Hm仓鼠
  • ChHm中国仓鼠
  • Chk
;

联系我们

Location :

南京市高新开发区星火路10号人才大厦C座

Phone :

400-9961-933
025-58868422

Email Address

info@sabbiotech.com