免费电话:400-9961-933
邮箱:info@sabbiotech.com
欢迎光临本站
川博智能体 English
位置: 首页 > 多克隆抗体 > TEM2 Antibody

TEM2 Antibody#24591

是否有货: 有货
产品详情

产品名称TEM2 Antibody

来源种属Rabbit

克隆性Polyclonal

纯化Affinity chromatography purified via peptide column

应用ELISA WB IHC

种属反应性Human;Mouse;Rat

免疫原类型Peptide

免疫原描述Raised against a 15 amino acid peptide near the carboxy terminus of the human TEM2.

基因/蛋白名称TEM2

标记Unconjugated

别名Tumor endothelial marker 2, Ras homolog enriched in striatum, Rhes, RASD2

数据库入口号Q96D21

Uniprot Q96D21

浓度1mg/ml

配方Supplied in PBS containing 0.02% sodium azide.

保存Can be stored at -20˚C, stable for one year. As with all antibodies care should be taken to avoid repeated freeze thaw cycles. Antibodies should not be exposed to prolonged high temperatures.

应用详情
Western blot analysis of TEM2 in human colon tissue lysate with TEM2 antibody at (A) 1 and (B) 2 ug/mL.
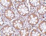
Immunohistochemistry of TEM2 in human colon tissue with TEM2 antibody at 2.5 ug/mL.
Rhes, also known as tumor endothelial marker 2 (TEM2), is a small GTP-binding protein that is predominantly expressed in the striatal region of the brain. This protein belongs to the RASD subfamily of Ras-related GTP-binding protein superfamily and is thought to play a role in the normal development and function of the brain as mice lacking this gene showed increased anxiety levels and motor coordination deficits. Rhes was identified as TEM2 through analysis of genes whose expression was upregulated in tumor endothelium. Tumor endothelial markers are significantly up-regulated during angiogenesis and neoangiogenesis that are crucial for the growth of solid tumors. TEMs localized on the cell surface and conserved across species are of particular interest for future development of anti-angiogenic therapies.

如果您使用该产品24591发表了文章,请通知我们,让我们可以引用您的文献。

et al,The identities of insulin signaling pathway are affected by overexpression of Tau and its phosphorylation form , (2022),
PMID: 36589543

注释

应用

  • WB免疫印迹
  • IHC免疫组化
  • IF免疫荧光
  • ICC免疫细胞化学
  • FC流式细胞
  • IP免疫沉淀
  • E酶联免疫吸附法
  • DB免疫斑点法
  • ChIP染色质免疫沉淀
  • GICA胶体金免疫层析法
  • NC阴性对照

种属反应性

  • Hu
  • Ms小鼠
  • Rt大鼠
  • Dm果蝇
  • C线虫
  • Mk
  • Rb
  • B
  • D
  • P
  • Hm仓鼠
  • ChHm中国仓鼠
  • Chk
;

联系我们

Location :

南京市高新开发区星火路10号人才大厦C座

Phone :

400-9961-933
025-58868422

Email Address

info@sabbiotech.com