免费电话:400-9961-933
邮箱:info@sabbiotech.com
欢迎光临本站
川博智能体 English
位置: 首页 > 鼠单克隆抗体 > SOX2 Monoclonal Antibody

SOX2 Monoclonal Antibody#27015

是否有货: 有货
产品详情

产品名称SOX2 Monoclonal Antibody

来源种属Mouse

克隆性Monoclonal

亚型Mouse IgG1

纯化Purified by antigen-affinity chromatography.

应用WB;IHC;IF;FC;ELISA

种属反应性Human;Mouse;Rat;Rabbit;Monkey

免疫原描述Purified recombinant fragment of human SOX2 expressed in E. Coli.

基因/蛋白名称SOX2

标记Unconjugated

别名ANOP3; MCOPS3

数据库入口号UniProt:P48431
NCBI Gene ID:6657

Uniprot P48431

计算分子量34kDa

配方Purified antibody in PBS with 0.05% sodium azide.

保存Store at 4°C short term. Aliquot and store at -20°C long term. Avoid freeze/thaw cycles.

应用详情
WB 1/500-1/1000
IHC 1/200 - 1/1000
IF 1/200 - 1/1000
FC 1/200 - 1/400
ELISA 1/10000
1:1000 dilution of this antibody detected Sox2 on 40ug of cell lysates
Western blot analysis using SOX2 mouse mAb against C6(1),F9(2) cell lysate.
Immunofluorescence analysis of NTERA-2 cells using SOX2 mouse mAb (green). Red: Actin filaments have been labeled with Alexa Fluor-555 phalloidin.
Immunofluorescence analysis of NIH3T3 cells using SOX2 mouse mAb (green). Red: Actin filaments have been labeled with Alexa Fluor- 555 phalloidin.
Immunofluorescence analysis of C6 cells using SOX2 mouse mAb (green)
Flow cytometric analysis of COS7 cells using SOX2 mouse mAb (green) and negative control (red).
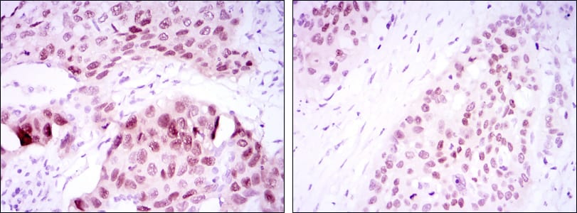
Immunohistochemical analysis of paraffin-embedded human lung cancer tissues (left) and esophageal cancer tissues (right) using SOX2 mouse mAb with DAB staining.
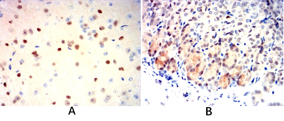
Immunohistochemical analysis of paraffin-embedded Mouse brain(A) Mouse stomach(B) using SOX2 mouse mAb with DAB staining.

如果您使用该产品27015发表了文章,请通知我们,让我们可以引用您的文献。

et al,Exosomes derived from human mesenchymal stem cells promote gastric cancer cell growth and migration via the activation of the Akt pathway.In Mol Med Rep.On 2016 Oct by Gu H, Ji R et al..PMID:27513187 , (2016),
PMID: 27513187

注释

应用

  • WB免疫印迹
  • IHC免疫组化
  • IF免疫荧光
  • ICC免疫细胞化学
  • FC流式细胞
  • IP免疫沉淀
  • E酶联免疫吸附法
  • DB免疫斑点法
  • ChIP染色质免疫沉淀
  • GICA胶体金免疫层析法
  • NC阴性对照

种属反应性

  • Hu
  • Ms小鼠
  • Rt大鼠
  • Dm果蝇
  • C线虫
  • Mk
  • Rb
  • B
  • D
  • P
  • Hm仓鼠
  • ChHm中国仓鼠
  • Chk
;

联系我们

Location :

南京市高新开发区星火路10号人才大厦C座

Phone :

400-9961-933
025-58868422

Email Address

info@sabbiotech.com