免费电话:400-9961-933
邮箱:info@sabbiotech.com
欢迎光临本站
川博智能体 English
位置: 首页 > 多克隆抗体 > GRP78 / BiP Polyclonal Antibody

GRP78 / BiP Polyclonal Antibody#27530

是否有货: Yes
产品详情

产品名称GRP78 / BiP Polyclonal Antibody

来源种属Rabbit

克隆性Polyclonal

亚型IgG

纯化Affinity purification

应用WB;IHC;IF

种属反应性Human;Mouse;Rat

免疫原描述A synthetic peptide of human BiP/GRP78 (NP_005338.1).

标记Unconjugated

别名HSPA5;BIP;GRP78;HEL-S-89n;MIF2

数据库入口号Uniprot:P11021
GeneID:3309

Uniprot P11021

Gene ID 3309

计算分子量78kDa

实际分子量72-78kDa

配方PBS with 0.02% sodium azide,50% glycerol,pH7.3.

保存Store at -20˚C. Avoid freeze / thaw cycles.

应用详情
WB 1:500 - 1:2000
IHC 1:50 - 1:200
IF 1:50 - 1:200
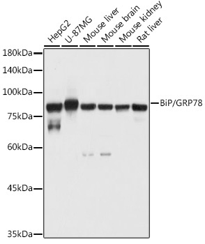
Western blot analysis of extracts from various cell lines using BiP/GRP78 antibody.
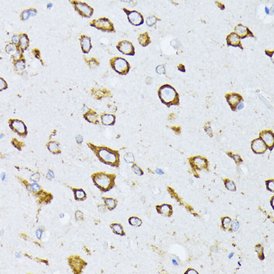
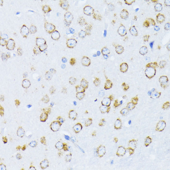
Immunohistochemistry of paraffin-embedded rat brain using GRP78 / BiP Polyclonal Antibody.
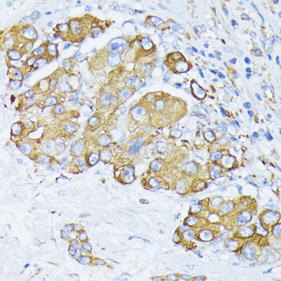
Immunohistochemistry of paraffin-embedded human liver cancer using GRP78 / BiP Polyclonal Antibody.
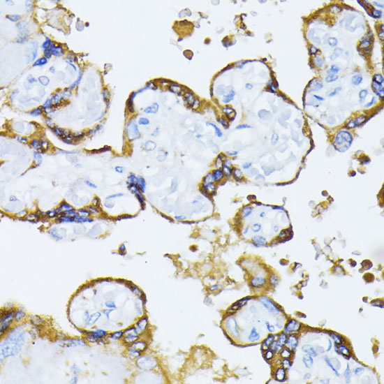
Immunohistochemistry of paraffin-embedded human placenta using GRP78 / BiP Polyclonal Antibody.
Immunohistochemistry of paraffin-embedded mouse brain using GRP78 / BiP Polyclonal Antibody.
Immunofluorescence analysis of NIH/3T3 cells using GRP78 / BiP Polyclonal Antibody.
Immunofluorescence analysis of PC-12 cells using GRP78 / BiP Polyclonal Antibody.
Immunofluorescence analysis of U2OS cells using GRP78 / BiP Polyclonal Antibody.
The protein encoded by this gene is a member of the heat shock protein 70 (HSP70) family. It is localized in the lumen of the endoplasmic reticulum (ER), and is involved in the folding and assembly of proteins in the ER. As this protein interacts with many ER proteins, it may play a key role in monitoring protein transport through the cell.

如果您使用该产品27530发表了文章,请通知我们,让我们可以引用您的文献。

et al,Achyranthes bidentata polysaccharides alleviate endoplasmic reticulum stress in osteoarthritis via lncRNA NEAT1/miR-377-3p pathway. In Biomed Pharmacother on 2022 Oct by Changlong Fu, Zhiwei Qiu,et al..PMID:35988424 , (2022),
PMID: 35988424
et al,A programmable protease-based protein secretion platform for therapeutic applicationsInNat Chem BiolOn2023 Oct 23byXinyi Wang?#?1,?Liping Kang et al..PMID:?37872400 , (2023),
PMID: 37872400

注释

应用

  • WB免疫印迹
  • IHC免疫组化
  • IF免疫荧光
  • ICC免疫细胞化学
  • FC流式细胞
  • IP免疫沉淀
  • E酶联免疫吸附法
  • DB免疫斑点法
  • ChIP染色质免疫沉淀
  • GICA胶体金免疫层析法
  • NC阴性对照

种属反应性

  • Hu
  • Ms小鼠
  • Rt大鼠
  • Dm果蝇
  • C线虫
  • Mk
  • Rb
  • B
  • D
  • P
  • Hm仓鼠
  • ChHm中国仓鼠
  • Chk
;

联系我们

Location :

南京市高新开发区星火路10号人才大厦C座

Phone :

400-9961-933
025-58868422

Email Address

info@sabbiotech.com