免费电话:400-9961-933
邮箱:info@sabbiotech.com
欢迎光临本站
川博智能体 English
位置: 首页 > 多克隆抗体 > ALOX12 Polyclonal Antibody

ALOX12 Polyclonal Antibody#28678

是否有货: Yes
产品详情

产品名称ALOX12 Polyclonal Antibody

来源种属Rabbit

克隆性Polyclonal

亚型IgG

纯化Affinity purification

应用IHC,IF

种属反应性Human;Mouse;Rat

免疫原描述Recombinant fusion protein of human ALOX12 (NP_000688.2).

标记Unconjugated

别名ALOX12; 12-LOX; 12S-LOX; LOG12; arachidonate 12-lipoxygenase, 12S-type

数据库入口号Swiss-Prot#:P18054
NCBI Gene ID:239

Uniprot P18054

计算分子量

配方Avoid freeze / thaw cycles.|Buffer: PBS with 50% glycerol, pH7.4.

保存Store at -20˚C

应用详情
IHC 1:50 - 1:200
IF 1:50 - 1:200
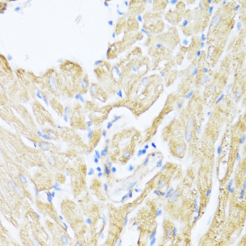
Immunohistochemistry of paraffin-embedded rat heart using ALOX12 antibody.
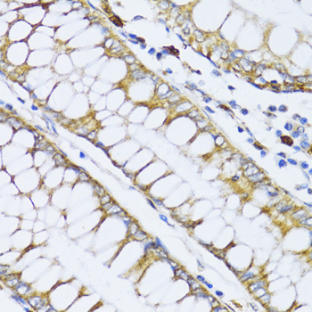
Immunohistochemistry of paraffin-embedded human colon carcinoma using ALOX12 antibody.
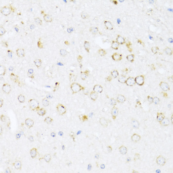
Immunohistochemistry of paraffin-embedded mouse brain using ALOX12 antibody.
Immunofluorescence analysis of rat lung using ALOX12 Polyclonal Antibody.

如果您使用该产品28678发表了文章,请通知我们,让我们可以引用您的文献。

注释

应用

  • WB免疫印迹
  • IHC免疫组化
  • IF免疫荧光
  • ICC免疫细胞化学
  • FC流式细胞
  • IP免疫沉淀
  • E酶联免疫吸附法
  • DB免疫斑点法
  • ChIP染色质免疫沉淀
  • GICA胶体金免疫层析法
  • NC阴性对照

种属反应性

  • Hu
  • Ms小鼠
  • Rt大鼠
  • Dm果蝇
  • C线虫
  • Mk
  • Rb
  • B
  • D
  • P
  • Hm仓鼠
  • ChHm中国仓鼠
  • Chk
;

联系我们

Location :

南京市高新开发区星火路10号人才大厦C座

Phone :

400-9961-933
025-58868422

Email Address

info@sabbiotech.com