免费电话:400-9961-933
邮箱:info@sabbiotech.com
欢迎光临本站
川博智能体 English
位置: 首页 > 多克隆抗体 > GIT1 Polyclonal Antibody

GIT1 Polyclonal Antibody#28967

是否有货: 货期一周
产品详情

产品名称GIT1 Polyclonal Antibody

来源种属Rabbit

克隆性Polyclonal

亚型IgG

纯化Affinity purification

应用WB,IF

种属反应性Human;Mouse;Rat

免疫原描述Recombinant fusion protein of human GIT1 (NP_054749.2).

标记Unconjugated

别名GIT1; GIT ArfGAP 1

数据库入口号Swiss-Prot#:Q9Y2X7
NCBI Gene ID:28964

Uniprot Q9Y2X7

计算分子量100kDa

配方Avoid freeze / thaw cycles.|Buffer: PBS with 50% glycerol, pH7.4.

保存Store at -20˚C

应用详情
WB 1:200 - 1:2000
IF 1:50 - 1:200
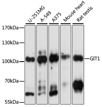
Western blot analysis of extracts of various cell lines, using GIT1 antibody at 1:1000 dilution.
Immunofluorescence analysis of C6 cells using [KO] GIT1 antibody at dilution of 1:100. Blue: DAPI for nuclear staining.
Immunofluorescence analysis of L929 cells using [KO] GIT1 antibody at dilution of 1:100. Blue: DAPI for nuclear staining.
Immunofluorescence analysis of U-2 OS cells using [KO] GIT1 antibody at dilution of 1:100. Blue: DAPI for nuclear staining.
Western blot analysis of extracts from normal (control) and GIT1 knockout (KO) HeLa cells, using GIT1 antibody at 1:3000 dilution.

如果您使用该产品28967发表了文章,请通知我们,让我们可以引用您的文献。

et al,A Radiofluorinated Nanobody PET Tracer to Dynamically Visualize Differential Nectin4 Expression In Vivo , (2025),
PMID: 41037820

注释

应用

  • WB免疫印迹
  • IHC免疫组化
  • IF免疫荧光
  • ICC免疫细胞化学
  • FC流式细胞
  • IP免疫沉淀
  • E酶联免疫吸附法
  • DB免疫斑点法
  • ChIP染色质免疫沉淀
  • GICA胶体金免疫层析法
  • NC阴性对照

种属反应性

  • Hu
  • Ms小鼠
  • Rt大鼠
  • Dm果蝇
  • C线虫
  • Mk
  • Rb
  • B
  • D
  • P
  • Hm仓鼠
  • ChHm中国仓鼠
  • Chk
;

联系我们

Location :

南京市高新开发区星火路10号人才大厦C座

Phone :

400-9961-933
025-58868422

Email Address

info@sabbiotech.com