免费电话:400-9961-933
邮箱:info@sabbiotech.com
欢迎光临本站
川博智能体 English
位置: 首页 > 多克隆抗体 > Ki67 Polyclonal Antibody

Ki67 Polyclonal Antibody#29020

是否有货: 有货
产品详情

产品名称Ki67 Polyclonal Antibody

来源种属Rabbit

克隆性Polyclonal

纯化Immunogen affinity purified

应用IHC IF/ICC

种属反应性Human

特异性Ki67 Antibody detects endogenous levels of Ki67

免疫原类型Peptide

免疫原描述A synthesized peptide derived from human Ki67

基因/蛋白名称Ki67

标记Unconjugated

别名antigen identified by monoclonal antibody Ki-67; Antigen KI-67; KI67; KIA; MKI67; proliferation-related Ki-67 antigen

数据库入口号Swiss-Prot#: P46013

Uniprot P46013

计算分子量359kDa

浓度1.0mg/ml

配方Rabbit IgG in phosphate buffered saline , pH 7.4, 150mM NaCl, 0.02% sodium azide and 50% glycerol.

保存Store at -20°C/1 year

应用详情
IHC: 1:50-1:200
IF/ICC: 1:100-1:500 
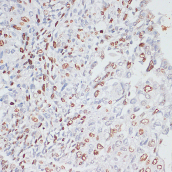
Immunohistochemistry of paraffin-embedded human lung cancer tissue using Ki67 Polyclonal Antibody.
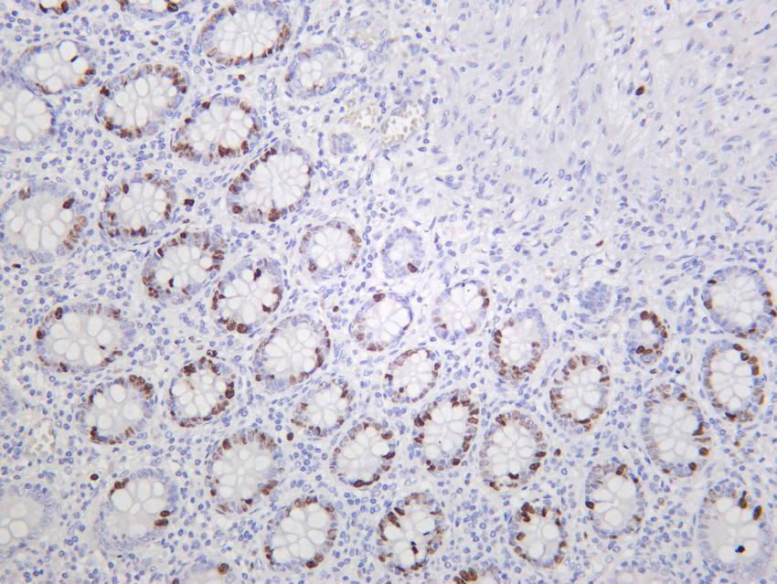
Immunohistochemistry of paraffin-embedded Human appendix tissue using Ki67 Polyclonal Antibody.
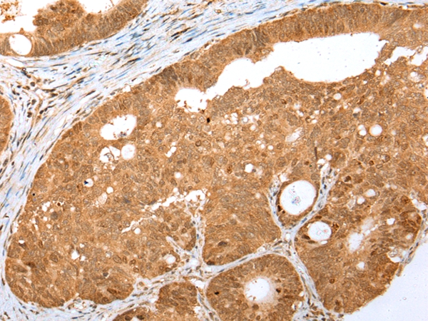
Immunohistochemistry of paraffin-embedded Human gastric cancer tissue using Ki67 Polyclonal Antibody.
Immunohistochemistry of paraffin-embedded Human esophagus cancer tissue using Ki67 Polyclonal Antibody.
Immunofluorescence analysis of HeLa cells using Ki67 Polyclonal Antibody. Blue: DAPI for nuclear staining.
Immunofluorescence analysis of Human tonsil tissue using Ki67 Polyclonal Antibody.

 KI-67 a protein that may be a marker of proliferating cells, involved in chromatin compaction. Its expression is altered in many tumor types including osteosarcomas, histiocytomas, prostate, breast and esophageal cancers. Mutated in colon, cervical and lung cancers.

如果您使用该产品29020发表了文章,请通知我们,让我们可以引用您的文献。

et al,Long non-codIng RNA PVT1 promotes tumor progression by regulatIng the miR-143/HK2 axis In gallbladder cancer.In Mol Cancer on 2019 Mar 2 by Chen J, Yu Y, et al.. PMID: 30825877 , (2019),
PMID: 30825877
et al,Function of Cell-Cycle Regulators in Predicting Silent Pituitary Adenoma Progression Following Surgical Resection.In Oncol Lett on 2017 Dec by Sung Hyun Park, Ji Hwan Jang,,et al..PMID: 29344143 , (2017),
PMID: 29344143
et al,Application of MRI-Based Radiomics in Preoperative Prediction of NF2 Alteration in Intracranial Meningiomas , (2022),
PMID: 36267986

注释

应用

  • WB免疫印迹
  • IHC免疫组化
  • IF免疫荧光
  • ICC免疫细胞化学
  • FC流式细胞
  • IP免疫沉淀
  • E酶联免疫吸附法
  • DB免疫斑点法
  • ChIP染色质免疫沉淀
  • GICA胶体金免疫层析法
  • NC阴性对照

种属反应性

  • Hu
  • Ms小鼠
  • Rt大鼠
  • Dm果蝇
  • C线虫
  • Mk
  • Rb
  • B
  • D
  • P
  • Hm仓鼠
  • ChHm中国仓鼠
  • Chk
;

联系我们

Location :

南京市高新开发区星火路10号人才大厦C座

Phone :

400-9961-933
025-58868422

Email Address

info@sabbiotech.com