免费电话:400-9961-933
邮箱:info@sabbiotech.com
欢迎光临本站
川博智能体 English
位置: 首页 > 多克隆抗体 > Cleaved Caspase-3 antibody

Cleaved Caspase-3 antibody#29034

是否有货: 有货
产品详情

产品名称Cleaved Caspase-3 antibody

来源种属Rabbit

克隆性Polyclonal

纯化Immunogen affinity purified

应用WB;IHC

种属反应性Human;Mouse;Rat

特异性Caspase 3 (p17,Cleaved-Asp175) Antibody detects endogenous levels of fragment of activated Caspase 3 resulting from cleavage adjacent to Asp175.

基因/蛋白名称Cleaved-caspase 3

标记Unconjugated

别名Apopain precursor; CASP-3; CPP-32; CPP32; Caspase-3; Cysteine protease CPP32; ICE3; SCA-1; SREBP cleavage activity 1; Yama protein,p17

数据库入口号Swiss-Prot#: P42574

Uniprot P42574

计算分子量32 kDa

实际分子量17 kDa

浓度1.0mg/ml

配方Rabbit IgG in phosphate buffered saline , pH 7.4, 150mM NaCl, 0.02% sodium azide and 50% glycerol.

保存Store at -20°C/1 year

应用详情

 WB: 1:500-1:2000

 IHC: 1:50-1:200
Western blot analysis of extracts from Jurkat and MCF7 cells using Cleaved Caspase-3 antibody.
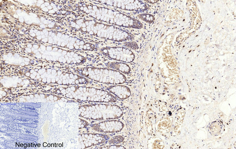
Immunohistochemical analysis of paraffin-embedded Human colon tissue using Cleaved Caspase-3 antibody.
Immunohistochemical analysis of paraffin-embedded Human stomach cancer tissue using Cleaved Caspase-3 antibody.
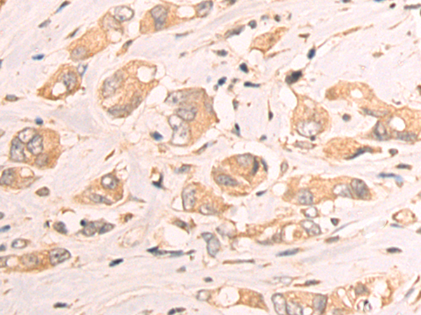
Immunohistochemical analysis of paraffin-embedded Human breast cancer tissue using Cleaved Caspase-3 antibody.
Immunohistochemical analysis of paraffin-embedded Rat-heart tissue using Cleaved Caspase-3 antibody.
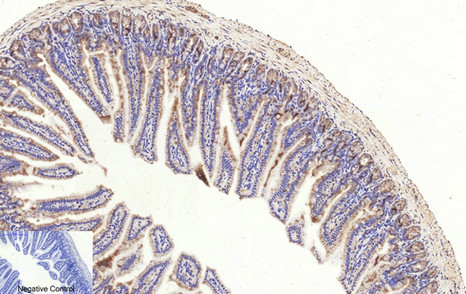
Immunohistochemical analysis of paraffin-embedded Mouse-colon tissue using Cleaved Caspase-3 antibody.

This gene encodes a protein which is a member of the cysteine-aspartic acid protease (caspase) family. Sequential activation of caspases plays a central role in the execution-phase of cell apoptosis. Caspases exist as inactive proenzymes which undergo proteolytic processing at conserved aspartic residues to produce 2 subunits, large and small, that dimerize to form the active enzyme.

如果您使用该产品29034发表了文章,请通知我们,让我们可以引用您的文献。

et al,CRTH2 promotes endoplasmic reticulum stress induced cardiomyocyte apoptosis through m calpain.In EMBO Mol Med. On 2018 Mar by Zuo S, Kong D et al..PMID: 29335338 , (2018),
PMID: 29335338
et al,Effects of transcription factor EB on oxidative stress and apoptosis Induced by high glucose In podocytes. In Int J Mol Med on 2019 May 24 by Kang Y, Li Y, et al.. PMID: 31173156 , (2019),
PMID: 31173156
et al,DNA?PKcs Inhibitor Increases the sensitivity of gastric cancer cells to radiotherapy. In Oncol Rep on 2019 Jun 6 by Geng W, Tian D, et al.. PMID:31173270 , (2019),
PMID: 31173270
et al,Potential role of the cAMP/PKA/CREB signallIng pathway In hypoxic preconditionIng and effect on propofol?Induced neurotoxicity In the hippocampus of neonatal rats.In Mol Med Rep on 2019 Aug by Guan R, Lv J, et al..PMID:31257533 , (2019),
PMID: 31257533
et al,PIWI-Interacting RNA-004800 Is Regulated by S1P Receptor Signaling Pathway to Keep Myeloma Cell Survival.In Front Oncol on 2020 Apr 15 by Ma H, Wang H, et al..PMID: 32351883 , (2020),
PMID: 32351883
et al,The Natural Compound Myricetin Effectively Represses the Malignant Progression of Prostate Cancer by Inhibiting PIM1 and Disrupting the PIM1/CXCR4 Interaction .In Cell Physiol Biochem. On 2018 by Ye C, Zhang C et al..PMID: 30045021 , (2018),
PMID: 30045021
et al,Risperidone ameliorated A尾1-42-induced cognitive and hippocampal synaptic impairments in mice.In Behav Brain Res on 2017 Mar 30 by Lingzhi Wu , Xiaowen Feng,et al..PMID: 28093254 , (2017),
PMID: 28093254
查看更多
et al,Resveratrol Protects Podocytes Against Apoptosis via Stimulation of Autophagy in a Mouse Model of Diabetic Nephropathy.In Sci Rep on 2017 Apr 4 by Shan-Shan Huang, Da-Fa Ding,et al..PMID: 28374806 , (2017),
PMID: 28374806
et al,Thromboxane A2 receptor inhibition suppresses multiple myeloma cell proliferation by inducing p38/c-Jun N-terminal kinase (JNK) mitogen-activated protein kinase .In J Biol Chem on 2016 Feb 26 et al..PMID:26724804 , (2016),
PMID: 26724804
et al,Down-Regulated Exosomal MicroRNA-221 - 3p Derived From Senescent Mesenchymal Stem Cells Impairs Heart Repair. In Front Cell Dev Biol on 2020 May 5 by Ling Sun, Wenwu Zhu, et al..PMID: 32432109 , (2020),
PMID: 32432109
et al,Macrophage migration inhibitory factor facilitates the therapeutic efficacy of mesenchymal stem cells derived exosomes in acute myocardial infarction through upregulating miR-133a-3p. In J Nanobiotechnology on 2021 Feb 27 by Wenwu Zhu, Ling Sun, et al..PMID:33639970 , (2020),
PMID: 33639970
et al,Macrophage migration inhibitory factor facilitates the therapeutic efficacy of mesenchymal stem cells derived exosomes in acute myocardial infarction through upregulating miR-133a-3p In J Nanobiotechnology on 2021 Feb 27 by Wenwu Zhu, Ling Sun, et al..PMID:33639970 , (2021),
PMID: 33639970
et al,IFN-γ enhances the efficacy of mesenchymal stromal cell-derived exosomes via miR-21 in myocardial infarction rats. In Stem Cell Res Ther on 2022 Jul 23 by Jian Zhang, Yao Lu, et al..PMID:35870960 , (2022),
PMID: 35870960
et al,The m6A reader IGF2BP3 promotes acute myeloid leukemia progression by enhancing RCC2 stability. In Exp Mol Med on 2022 Feb by Nan Zhang, Yan Shen,et al..PMID:35217832 , (2022),
PMID: 35217832
et al,Tremella fuciformis polysaccharides alleviates UV-provoked skin cell damage via regulation of thioredoxin interacting protein and thioredoxin reductase 2InPhotochem Photobiol SciOn2023 OctbyMengting Lin?#?1?2?3,?Chengbei Bao et al..PMID: 37458972 , (2023),
PMID: 37458972
et al,Dapagliflozin ameliorates myocardial infarction injury through AMPKα-dependent regulation of oxidative stress and apoptosis. In Heliyon on 2024 Apr 4 by Yuce Peng, Mingyu Guo,et al..PMID:38617915 , (2024),
PMID: 38617915
et al,BRD4770 protects against DOX-induced cardiotoxicity by inhibiting apoptosis and ferroptosis , (2025),
PMID: 40644536

注释

应用

  • WB免疫印迹
  • IHC免疫组化
  • IF免疫荧光
  • ICC免疫细胞化学
  • FC流式细胞
  • IP免疫沉淀
  • E酶联免疫吸附法
  • DB免疫斑点法
  • ChIP染色质免疫沉淀
  • GICA胶体金免疫层析法
  • NC阴性对照

种属反应性

  • Hu
  • Ms小鼠
  • Rt大鼠
  • Dm果蝇
  • C线虫
  • Mk
  • Rb
  • B
  • D
  • P
  • Hm仓鼠
  • ChHm中国仓鼠
  • Chk
;

联系我们

Location :

南京市高新开发区星火路10号人才大厦C座

Phone :

400-9961-933
025-58868422

Email Address

info@sabbiotech.com