免费电话:400-9961-933
邮箱:info@sabbiotech.com
欢迎光临本站
川博智能体 English
位置: 首页 > 多克隆抗体 > ADAM17 Polyclonal Antibody

ADAM17 Polyclonal Antibody#29051

是否有货: Yes
产品详情

产品名称ADAM17 Polyclonal Antibody

来源种属Rabbit

克隆性Polyclonal

亚型IgG

纯化Affinity purification

应用WB,IHC,IF

种属反应性Human;Mouse;Rat

免疫原描述A synthetic peptide of human ADAM17 (NP_003174.3).

标记Unconjugated

别名ADAM17;ADAM18;CD156B;CSVP;NISBD;NISBD1;TACE

数据库入口号GeneID:6868
Swiss Prot:P78536

Uniprot P78536

计算分子量78kDa/93kDa

实际分子量115kDa

浓度1.0mg/ml

配方Supplied at 1.0mg/mL in phosphate buffered saline (without Mg2+ and Ca2+), pH 7.4, 150mM NaCl, 0.02% sodium azide and 128% glycerol.

保存Store at -20˚C. Avoid freeze / thaw cycles.|Buffer: PBS with 0.02% sodium azide,50% glycerol,pH7.81.

应用详情
WB 1:500 - 1:2000
IHC 1:100 - 1:200
IF 1:50 - 1:200
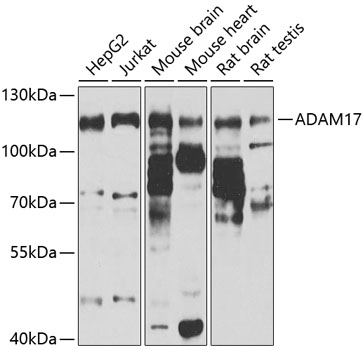
Western blot analysis of extracts of various cell lines, using ADAM17 antibody at 1:1000 dilution.
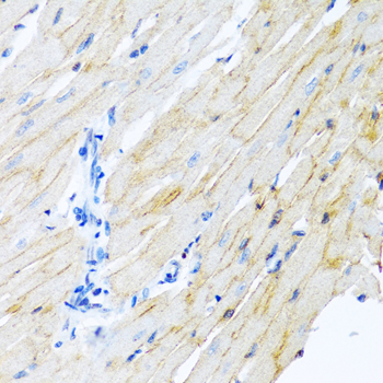
Immunohistochemistry of paraffin-embedded rat heart using ADAM17 antibody at dilution of 1:100 .
This gene encodes a member of the ADAM (a disintegrin and metalloprotease domain) family. Members of this family are membrane-anchored proteins structurally related to snake venom disintegrins, and have been implicated in a variety of biologic processes involving cell-cell and cell-matrix interactions, including fertilization, muscle development, and neurogenesis. The encoded preproprotein is proteolytically processed to generate the mature protease. The encoded protease functions in the ectodomain shedding of tumor necrosis factor-alpha, in which soluble tumor necrosis factor-alpha is released from the membrane-bound precursor. This protease also functions in the processing of numerous other substrates, including cell adhesion proteins, cytokine and growth factor receptors and epidermal growth factor (EGF) receptor ligands. The encoded protein also plays a prominent role in the activation of the Notch signaling pathway. Elevated expression of this gene has been observed in specific cell types derived from psoriasis, rheumatoid arthritis, multiple sclerosis and Crohn's disease patients, suggesting that the encoded protein may play a role in autoimmune disease.

如果您使用该产品29051发表了文章,请通知我们,让我们可以引用您的文献。

et al,Distribution of macrophages in the cochlea following radiation-induced sensorineural hearing loss , (2025),
PMID: 40545115

注释

应用

  • WB免疫印迹
  • IHC免疫组化
  • IF免疫荧光
  • ICC免疫细胞化学
  • FC流式细胞
  • IP免疫沉淀
  • E酶联免疫吸附法
  • DB免疫斑点法
  • ChIP染色质免疫沉淀
  • GICA胶体金免疫层析法
  • NC阴性对照

种属反应性

  • Hu
  • Ms小鼠
  • Rt大鼠
  • Dm果蝇
  • C线虫
  • Mk
  • Rb
  • B
  • D
  • P
  • Hm仓鼠
  • ChHm中国仓鼠
  • Chk
;

联系我们

Location :

南京市高新开发区星火路10号人才大厦C座

Phone :

400-9961-933
025-58868422

Email Address

info@sabbiotech.com