免费电话:400-9961-933
邮箱:info@sabbiotech.com
欢迎光临本站
川博智能体 English
位置: 首页 > 多克隆抗体 > HSP90AA1 Polyclonal Antibody

HSP90AA1 Polyclonal Antibody#29111

是否有货: Yes
产品详情

产品名称HSP90AA1 Polyclonal Antibody

来源种属Rabbit

克隆性Polyclonal

亚型IgG

纯化Affinity purification

应用WB,IHC,IF

种属反应性Human;Mouse;Rat

免疫原描述A synthetic peptide of human HSP90AA1

标记Unconjugated

别名HSP90AA1;EL52;HEL-S-65p;HSP86;HSP89A;HSP90A;HSP90N;HSPC1;HSPCA;HSPCAL1;HSPCAL4;HSPN;Hsp103;Hsp89;Hsp90;LAP-2;LAP2

数据库入口号GeneID:3320
Swiss Prot:P07900

Uniprot P07900

计算分子量84kDa/98kDa

实际分子量101kDa

浓度1.0mg/ml

配方Supplied at 1.0mg/mL in phosphate buffered saline (without Mg2+ and Ca2+), pH 7.4, 150mM NaCl, 0.02% sodium azide and 216% glycerol.

保存Store at -20˚C. Avoid freeze / thaw cycles.|Buffer: PBS with 0.02% sodium azide,50% glycerol,pH7.169.

应用详情
WB 1:500 - 1:2000
IHC 1:50 - 1:200
IF 1:50 - 1:200
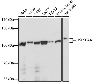
Western blot analysis of extracts of various cell lines, using HSP90AA1 antibody at 1:1000 dilution.
Immunofluorescence analysis of NIH-3T3 cells using HSP90AA1 antibody at dilution of 1:100. Blue: DAPI for nuclear staining.
Immunofluorescence analysis of C6 cells using HSP90AA1 antibody at dilution of 1:100. Blue: DAPI for nuclear staining.
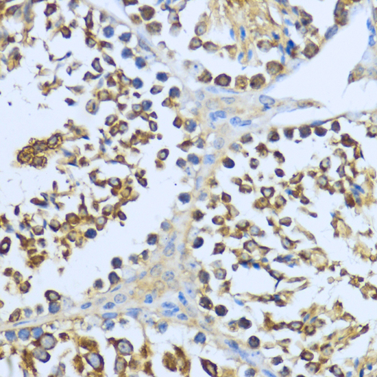
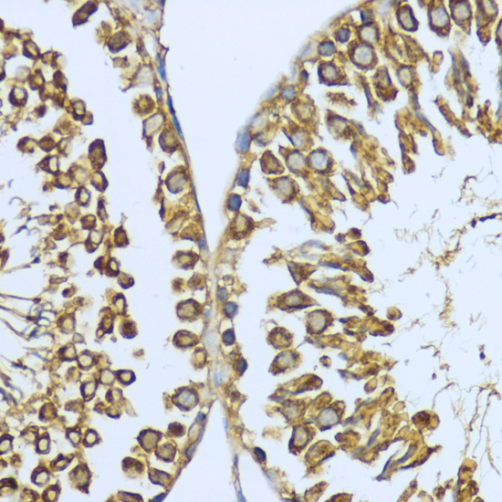
Immunohistochemistry of paraffin-embedded rat testis using HSP90AA1 antibody at dilution of 1:200 .
Immunohistochemistry of paraffin-embedded rat brain using HSP90AA1 antibody at dilution of 1:200 .
Immunohistochemistry of paraffin-embedded mouse testis using HSP90AA1 antibody at dilution of 1:200 .
Immunohistochemistry of paraffin-embedded mouse brain using HSP90AA1 antibody at dilution of 1:200 .
The protein encoded by this gene is an inducible molecular chaperone that functions as a homodimer. The encoded protein aids in the proper folding of specific target proteins by use of an ATPase activity that is modulated by co-chaperones. Two transcript variants encoding different isoforms have been found for this gene.

如果您使用该产品29111发表了文章,请通知我们,让我们可以引用您的文献。

et al,Classical prescription Daqinjiao decoction inhibit cerebral ischemia/reperfusion induced necroptosis and ferroptosis through multiple mechanisms. , (2025),
PMID: 39736347
et al,Pre-N and C-terminal extension regions of Arabidopsis HSP90. 7 regulate the chaperone activity and ER stress response , (2025),
PMID: 41072766

注释

应用

  • WB免疫印迹
  • IHC免疫组化
  • IF免疫荧光
  • ICC免疫细胞化学
  • FC流式细胞
  • IP免疫沉淀
  • E酶联免疫吸附法
  • DB免疫斑点法
  • ChIP染色质免疫沉淀
  • GICA胶体金免疫层析法
  • NC阴性对照

种属反应性

  • Hu
  • Ms小鼠
  • Rt大鼠
  • Dm果蝇
  • C线虫
  • Mk
  • Rb
  • B
  • D
  • P
  • Hm仓鼠
  • ChHm中国仓鼠
  • Chk
;

联系我们

Location :

南京市高新开发区星火路10号人才大厦C座

Phone :

400-9961-933
025-58868422

Email Address

info@sabbiotech.com