免费电话:400-9961-933
邮箱:info@sabbiotech.com
欢迎光临本站
川博智能体 English
位置: 首页 > 多克隆抗体 > GPX4 Polyclonal Antibody

GPX4 Polyclonal Antibody#29146

是否有货: Yes
产品详情

产品名称GPX4 Polyclonal Antibody

来源种属Rabbit

克隆性Polyclonal

亚型IgG

纯化Affinity purification

应用WB,IHC,IF

种属反应性Human;Mouse;Rat

免疫原描述Recombinant fusion protein of human GPX4 (NP_002076.2).

标记Unconjugated

别名GPX4;GPx-4;GSHPx-4;MCSP;PHGPx;SMDS;snGPx;snPHGPx

数据库入口号GeneID:2879
Swiss Prot:P36969

Uniprot P36969

计算分子量19kDa/22kDa

实际分子量25kDa

配方Supplied at 1.0mg/mL in phosphate buffered saline (without Mg2+ and Ca2+), pH 7.4, 150mM NaCl, 0.02% sodium azide and 287% glycerol.

保存Store at -20˚C. Avoid freeze / thaw cycles.|Buffer: PBS with 0.02% sodium azide,50% glycerol,pH7.240.

应用详情
WB 1:500 - 1:2000
IHC 1:50 - 1:200
IF 1:50 - 1:200
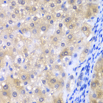
Immunohistochemistry of paraffin-embedded human liver damage using GPX4 antibody at dilution of 1:200 .
Immunofluorescence analysis of A549 cells using GPX4 antibody . Blue: DAPI for nuclear staining.
Western blot analysis of extracts of various cell lines, using GPX4 antibody at 1:1000 dilution.
The protein encoded by this gene belongs to the glutathione peroxidase family, members of which catalyze the reduction of hydrogen peroxide, organic hydroperoxides and lipid hydroperoxides, and thereby protect cells against oxidative damage. Several isozymes of this gene family exist in vertebrates, which vary in cellular location and substrate specificity. This isozyme has a high preference for lipid hydroperoxides and protects cells against membrane lipid peroxidation and cell death. It is also required for normal sperm development; thus, it has been identified as a 'moonlighting' protein because of its ability to serve dual functions as a peroxidase, as well as a structural protein in mature spermatozoa. Mutations in this gene are associated with Sedaghatian type of spondylometaphyseal dysplasia (SMDS). This isozyme is also a selenoprotein, containing the rare amino acid selenocysteine (Sec) at its active site. Sec is encoded by the UGA codon, which normally signals translation termination. The 3' UTRs of selenoprotein mRNAs contain a conserved stem-loop structure, designated the Sec insertion sequence (SECIS) element, that is necessary for the recognition of UGA as a Sec codon, rather than as a stop signal. Alternatively spliced transcript variants have been found for this gene.

如果您使用该产品29146发表了文章,请通知我们,让我们可以引用您的文献。

et al,Classical prescription Daqinjiao decoction inhibit cerebral ischemia/reperfusion induced necroptosis and ferroptosis through multiple mechanisms. , (2025),
PMID: 39736347

注释

应用

  • WB免疫印迹
  • IHC免疫组化
  • IF免疫荧光
  • ICC免疫细胞化学
  • FC流式细胞
  • IP免疫沉淀
  • E酶联免疫吸附法
  • DB免疫斑点法
  • ChIP染色质免疫沉淀
  • GICA胶体金免疫层析法
  • NC阴性对照

种属反应性

  • Hu
  • Ms小鼠
  • Rt大鼠
  • Dm果蝇
  • C线虫
  • Mk
  • Rb
  • B
  • D
  • P
  • Hm仓鼠
  • ChHm中国仓鼠
  • Chk
;

联系我们

Location :

南京市高新开发区星火路10号人才大厦C座

Phone :

400-9961-933
025-58868422

Email Address

info@sabbiotech.com