免费电话:400-9961-933
邮箱:info@sabbiotech.com
欢迎光临本站
川博智能体 English
位置: 首页 > 鼠单克隆抗体 > BMPR-II Monoclonal Antibody

BMPR-II Monoclonal Antibody#29596

是否有货: Yes
产品详情

产品名称BMPR-II Monoclonal Antibody

来源种属Mouse

克隆性Monoclonal

应用WB,IHC-p,IF/ICC

种属反应性Human;Mouse;Rat

免疫原描述Purified recombinant fragment of human BMPR-II expressed in E. Coli.

标记Unconjugated

数据库入口号Swiss-Prot#: Q13873

Uniprot Q13873

浓度1mg/ml

配方Ascitic fluid containing 0.03% sodium azide,0.5% BSA, 50%glycerol.

保存Store at -20℃/1 year

应用详情

  Western Blot: 1/500 - 1/2000
 Immunohistochemistry: 1/200 - 1/1000
Immunofluorescence: 1/200 - 1/1000.

Western Blot analysis using BMPR-II Monoclonal Antibody against HeLa (1), A431 (2), NIH/3T3 (3), Cos7 (4) and PC-12 (5) cell lysate.
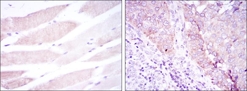
Immunohistochemistry analysis of paraffin-embedded muscle tissues (left) and kidney cancer tissues (right) with DAB staining using BMPR-II Monoclonal Antibody.

  bone morphogenetic protein receptor type 2(BMPR2) Homo sapiens This gene encodes a member of the bone morphogenetic protein (BMP) receptor family of transmembrane serine/threonine kinases. The ligands of this receptor are BMPs, which are members of the TGF-beta superfamily. BMPs are involved in endochondral bone formation and embryogenesis. These proteins transduce their signals through the formation of heteromeric complexes of two different types of serine (threonine) kinase receptors: type I receptors of about 50-55 kD and type II receptors of about 70-80 kD. Type II receptors bind ligands in the absence of type I receptors, but they require their respective type I receptors for signaling, whereas type I receptors require their respective type II receptors for ligand binding. Mutations in this gene have been associated with primary pulmonary hypertension, both familial and fenfluramine-associated, and with pulmonary venoocclusive disea

如果您使用该产品29596发表了文章,请通知我们,让我们可以引用您的文献。

et al,The mechanism of patchouli alcohol in treating IBS-D based on BMP-Smad pathway , (2025),
PMID: 40267641

注释

应用

  • WB免疫印迹
  • IHC免疫组化
  • IF免疫荧光
  • ICC免疫细胞化学
  • FC流式细胞
  • IP免疫沉淀
  • E酶联免疫吸附法
  • DB免疫斑点法
  • ChIP染色质免疫沉淀
  • GICA胶体金免疫层析法
  • NC阴性对照

种属反应性

  • Hu
  • Ms小鼠
  • Rt大鼠
  • Dm果蝇
  • C线虫
  • Mk
  • Rb
  • B
  • D
  • P
  • Hm仓鼠
  • ChHm中国仓鼠
  • Chk
;

联系我们

Location :

南京市高新开发区星火路10号人才大厦C座

Phone :

400-9961-933
025-58868422

Email Address

info@sabbiotech.com