免费电话:400-9961-933
邮箱:info@sabbiotech.com
欢迎光临本站
川博智能体 English
位置: 首页 > 多克隆抗体 > MYL9 Antibody

MYL9 Antibody#31244

是否有货: 有货
产品详情

产品名称MYL9 Antibody

来源种属Rabbit

克隆性Polyclonal

应用ELISA WB IHC

种属反应性Human;Mouse;Rat

特异性The antibody detects endogenous level of total MYL9 protein.

免疫原类型Peptide

免疫原描述Synthetic peptide corresponding to a region derived from 2-14 amino acids of Human myosin, light chain 9, regulatory

基因/蛋白名称MYL9

标记Unconjugated

别名myosin, light chain 9, regulatory, LC20, MLC2, MRLC1, MYRL2, MLC-2C

数据库入口号Genbank No.: NP_006088

Uniprot NP_006088

配方Supplied at 3mg/mL in phosphate buffered saline (without Mg2+ and Ca2+), pH 7.3, 0.05% sodium azide and 50% glycerol.

保存Store at -20˚C/1 year

应用详情
Predicted MW: 14kd
ELISA: 1:2000-1:10000
Western blotting: 1:1000-1:5000
Immunohistochemistry: 1:50-1:200
Gel: 12%SDS-PAGE
Lane1: Jurkat cell lysate
Lane2: 231 cell lysate
Lysates: 40 ug per lane
Primary antibody: 1/1500 dilution
Secondary antibody: Goat anti Rabbit IgG - H&L (HRP) at 1/10000 dilution
Exposure time: 30 seconds
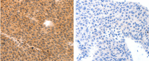
The image on the left is immunohistochemistry of paraffin-embedded Human liver cancer tissue using 31244(MYL9 Antibody) at dilution 1/80, on the right is treated with the synthetic peptide.
Myosin, a structural component of muscle, consists of two heavy chains and four light chains. The protein encoded by this gene is a myosin light chain that may regulate muscle contraction by modulating the ATPase activity of myosin heads. The encoded protein binds calcium and is activated by myosin light chain kinase. Two transcript variants encoding different isoforms have been found for this gene.

如果您使用该产品31244发表了文章,请通知我们,让我们可以引用您的文献。

et al,Identification and validation of critical genes with prognostic value in gastric cancer , (2022),
PMID: 36589754

注释

应用

  • WB免疫印迹
  • IHC免疫组化
  • IF免疫荧光
  • ICC免疫细胞化学
  • FC流式细胞
  • IP免疫沉淀
  • E酶联免疫吸附法
  • DB免疫斑点法
  • ChIP染色质免疫沉淀
  • GICA胶体金免疫层析法
  • NC阴性对照

种属反应性

  • Hu
  • Ms小鼠
  • Rt大鼠
  • Dm果蝇
  • C线虫
  • Mk
  • Rb
  • B
  • D
  • P
  • Hm仓鼠
  • ChHm中国仓鼠
  • Chk
;

联系我们

Location :

南京市高新开发区星火路10号人才大厦C座

Phone :

400-9961-933
025-58868422

Email Address

info@sabbiotech.com