免费电话:400-9961-933
邮箱:info@sabbiotech.com
欢迎光临本站
川博智能体 English
位置: 首页 > 多克隆抗体 > NCK2 Antibody

NCK2 Antibody#31248

是否有货: 有货
产品详情

产品名称NCK2 Antibody

来源种属Rabbit

克隆性Polyclonal

应用ELISA WB IHC

种属反应性Human;Mouse

特异性The antibody detects endogenous level of total NCK2 protein.

免疫原类型Peptide-KLH

免疫原描述Synthetic peptide peptide corresponding to a region derived from 94-107 amino acids of human NCK adaptor protein 2

基因/蛋白名称NCK2

标记Unconjugated

别名NCK adaptor protein 2, GRB4, NCKbeta

数据库入口号Genbank No.: NP_003572

Uniprot NP_003572

配方Supplied at 1.8mg/mL in phosphate buffered saline (without Mg2+ and Ca2+), pH 7.3, 0.05% sodium azide and 50% glycerol.

保存Store at -20˚C/1 year

应用详情

Predicted MW: 43kd
ELISA: 1:2000-1:5000
Western blotting: 1:500-1:2000
Immunohistochemistry: 1:25-1:100

Gel: 10% SDS-PAGE
Lysate: 40µg Mouse thymus tissue lysate
Primary antibody: 1/900 dilution
Secondary antibody: Goat anti Rabbit IgG - H&L (HRP) at 1/5000 dilution
Exposure time: 15 seconds
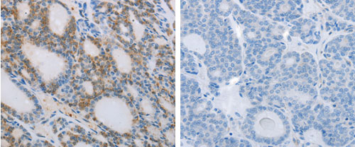
The image on the left is immunohistochemistry of paraffin-embedded Human thyroid cancer tissue using 31248 (NCK2 Antibody) at dilution 1/60, on the right is treated with the synthetic peptide.

This gene encodes a member of the NCK family of adaptor proteins. The protein contains three SH3 domains and one SH2 domain. The protein has no known catalytic function but has been shown to bind and recruit various proteins involved in the regulation of receptor protein tyrosine kinases. It is through these regulatory activities that this protein is believed to be involved in cytoskeletal reorganization. Alternate transcriptional splice variants, encoding different isoforms, have been characterized.?

如果您使用该产品31248发表了文章,请通知我们,让我们可以引用您的文献。

et al,Gamma-aminobutyric acid-B receptor axis promotes proliferation and survival of multiple myeloma cells via enhancing ERK1/2 activity , (2025),
PMID: 41243844

注释

应用

  • WB免疫印迹
  • IHC免疫组化
  • IF免疫荧光
  • ICC免疫细胞化学
  • FC流式细胞
  • IP免疫沉淀
  • E酶联免疫吸附法
  • DB免疫斑点法
  • ChIP染色质免疫沉淀
  • GICA胶体金免疫层析法
  • NC阴性对照

种属反应性

  • Hu
  • Ms小鼠
  • Rt大鼠
  • Dm果蝇
  • C线虫
  • Mk
  • Rb
  • B
  • D
  • P
  • Hm仓鼠
  • ChHm中国仓鼠
  • Chk
;

联系我们

Location :

南京市高新开发区星火路10号人才大厦C座

Phone :

400-9961-933
025-58868422

Email Address

info@sabbiotech.com