免费电话:400-9961-933
邮箱:info@sabbiotech.com
欢迎光临本站
川博智能体 English
位置: 首页 > 多克隆抗体 > IL25 Polyclonal Antibody

IL25 Polyclonal Antibody#31486

是否有货: Yes
产品详情

产品名称IL25 Polyclonal Antibody

来源种属Rabbit

克隆性Polyclonal

亚型IgG

纯化Affinity purification

应用WB,IHC,IF

种属反应性Human;Mouse;Rat

免疫原描述Recombinant fusion protein of human IL25 (NP_073626.1).

标记Unconjugated

别名IL25; IL17E; interleukin-25;IL-25

数据库入口号Swiss-Prot#:Q9H293
NCBI Gene ID:64806

Uniprot Q9H293

计算分子量24kDa

配方Avoid freeze / thaw cycles.|Buffer: PBS with 50% glycerol, pH7.4.

保存Store at -20˚C

应用详情

WB 1:500 - 1:2000
IHC 1:50 - 1:100
IF 1:50 - 1:200

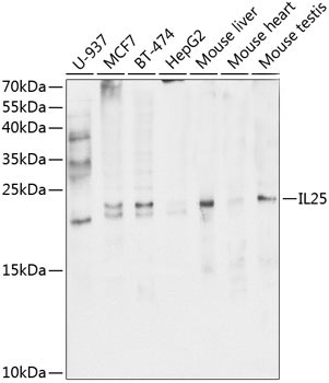
Western blot analysis of extracts of various cell lines, using IL25 antibody.
Immunofluorescence analysis of human lung cancer cells using IL25 antibody.
Immunofluorescence analysis of rat bronchus cells using IL25 antibody.
Immunofluorescence analysis of mouse lung cells using IL25 antibody.
Immunohistochemistry of paraffin-embedded rat lung using IL25 antibody.
Immunohistochemistry of paraffin-embedded human prostate using IL25 antibody.
Immunohistochemistry of paraffin-embedded mouse lung using IL25 antibody.

The protein encoded by this gene is a cytokine that shares sequence similarity with interleukin 17. This cytokine can induce NF-kappaB activation, and stimulate the production of interleukin 8. Both this cytokine and interleukin 17B are ligands for the cytokine receptor IL17BR. Studies of a similar gene in mice suggest that this cytokine may be a pro-inflammatory cytokine favoring the Th2-type immune response. Alternative splicing results in multiple transcript variants.

如果您使用该产品31486发表了文章,请通知我们,让我们可以引用您的文献。

et al,Interleukin-25 enhances humoral immune responses caused by the rabies virus. In Virulence on 2022 Dec by Yue Zhang, Mengwei Zhang,et al..PMID:35999776 , (2022),
PMID: 35999776

注释

应用

  • WB免疫印迹
  • IHC免疫组化
  • IF免疫荧光
  • ICC免疫细胞化学
  • FC流式细胞
  • IP免疫沉淀
  • E酶联免疫吸附法
  • DB免疫斑点法
  • ChIP染色质免疫沉淀
  • GICA胶体金免疫层析法
  • NC阴性对照

种属反应性

  • Hu
  • Ms小鼠
  • Rt大鼠
  • Dm果蝇
  • C线虫
  • Mk
  • Rb
  • B
  • D
  • P
  • Hm仓鼠
  • ChHm中国仓鼠
  • Chk
;

联系我们

Location :

南京市高新开发区星火路10号人才大厦C座

Phone :

400-9961-933
025-58868422

Email Address

info@sabbiotech.com