免费电话:400-9961-933
邮箱:info@sabbiotech.com
欢迎光临本站
川博智能体 English
位置: 首页 > 多克隆抗体 > RSPO1 Polyclonal Antibody

RSPO1 Polyclonal Antibody#31496

是否有货: Yes
产品详情

产品名称RSPO1 Polyclonal Antibody

来源种属Rabbit

克隆性Polyclonal

亚型IgG

纯化Affinity purification

应用WB,IHC,IF

种属反应性Human;Mouse;Rat

免疫原描述Recombinant fusion protein of human RSPO1 (NP_001033722.1).

标记Unconjugated

别名RSPO1;CRISTIN3;RSPO

数据库入口号Uniprot:Q2MKA7
GeneID:284654

Uniprot Q2MKA7

Gene ID 284654

计算分子量29kDa

实际分子量29KDa

配方PBS with 0.02% sodium azide,50% glycerol,pH7.3.

保存Store at -20˚C. Avoid freeze / thaw cycles.

应用详情
WB 1:500 - 1:2000
IHC 1:50 - 1:100
IF 1:50 - 1:200
Western blot analysis of extracts of SKOV3 cells, using RSPO1 antibody.
Western blot analysis of extracts of Rat pancreas, using RSPO1 antibody.
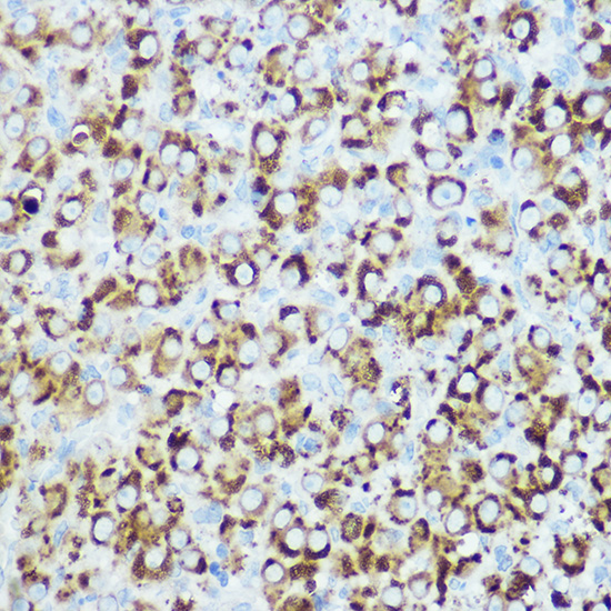
Immunohistochemistry of paraffin-embedded rat ovary using RSPO1 Rabbit pAb.
Immunofluorescence analysis of A549 cells using RSPO1 Rabbit pAb.
Immunofluorescence analysis of C6 cells using RSPO1 Rabbit pAb.
Immunofluorescence analysis of NIH-3T3 cells using RSPO1 Rabbit pAb.
This gene encodes a secreted activator protein with two cysteine-rich, furin-like domains and one thrombospondin type 1 domain. The encoded protein is a ligand for leucine-rich repeat-containing G-protein coupled receptors (LGR proteins) and positively regulates the Wnt signaling pathway. In mice, the protein induces the rapid onset of crypt cell proliferation and increases intestinal epithelial healing, providing a protective effect against chemotherapy-induced adverse effects. Alternative splicing results in multiple transcript variants.

如果您使用该产品31496发表了文章,请通知我们,让我们可以引用您的文献。

et al,Prognostic prediction and diagnostic role of Rspondin 1 expression in esophageal squamous cell carcinoma. In Indian J Pathol Microbiol on 2024 Jun 8 by Xiaoxia Cheng, Jiao Liu, et al..PMID:38864442 , (2024),
PMID: 38864442

注释

应用

  • WB免疫印迹
  • IHC免疫组化
  • IF免疫荧光
  • ICC免疫细胞化学
  • FC流式细胞
  • IP免疫沉淀
  • E酶联免疫吸附法
  • DB免疫斑点法
  • ChIP染色质免疫沉淀
  • GICA胶体金免疫层析法
  • NC阴性对照

种属反应性

  • Hu
  • Ms小鼠
  • Rt大鼠
  • Dm果蝇
  • C线虫
  • Mk
  • Rb
  • B
  • D
  • P
  • Hm仓鼠
  • ChHm中国仓鼠
  • Chk
;

联系我们

Location :

南京市高新开发区星火路10号人才大厦C座

Phone :

400-9961-933
025-58868422

Email Address

info@sabbiotech.com