免费电话:400-9961-933
邮箱:info@sabbiotech.com
欢迎光临本站
川博智能体 English
位置: 首页 > 多克隆抗体 > ATG2B Polyclonal Antibody

ATG2B Polyclonal Antibody#31572

是否有货: Yes
产品详情

产品名称ATG2B Polyclonal Antibody

来源种属Rabbit

克隆性Polyclonal

亚型IgG

纯化Affinity purification

应用WB

种属反应性Human;Mouse;Rat

免疫原描述Recombinant fusion protein of human ATG2B (NP_060506.5).

标记Unconjugated

别名ATG2B; C14orf103; autophagy related 2B

数据库入口号Swiss-Prot#:Q96BY7
NCBI Gene ID:55102

Uniprot Q96BY7

计算分子量270kDa

配方Avoid freeze / thaw cycles.|Buffer: PBS with 50% glycerol, pH7.4.

保存Store at -20˚C

应用详情
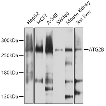
WB 1:500 - 1:1000
Western blot analysis of extracts of various cell lines, using ATG2B antibody.

如果您使用该产品31572发表了文章,请通知我们,让我们可以引用您的文献。

et al,Molecular signatures of brain glycolysis dysfunction in Alzheimer's disease , (2025),
PMID: 40698541

注释

应用

  • WB免疫印迹
  • IHC免疫组化
  • IF免疫荧光
  • ICC免疫细胞化学
  • FC流式细胞
  • IP免疫沉淀
  • E酶联免疫吸附法
  • DB免疫斑点法
  • ChIP染色质免疫沉淀
  • GICA胶体金免疫层析法
  • NC阴性对照

种属反应性

  • Hu
  • Ms小鼠
  • Rt大鼠
  • Dm果蝇
  • C线虫
  • Mk
  • Rb
  • B
  • D
  • P
  • Hm仓鼠
  • ChHm中国仓鼠
  • Chk
;

联系我们

Location :

南京市高新开发区星火路10号人才大厦C座

Phone :

400-9961-933
025-58868422

Email Address

info@sabbiotech.com