免费电话:400-9961-933
邮箱:info@sabbiotech.com
欢迎光临本站
川博智能体 English
位置: 首页 > 多克隆抗体 > TTC14 antibody

TTC14 antibody#31985

是否有货: Yes
产品详情

产品名称TTC14 antibody

来源种属Rabbit

克隆性Polyclonal

纯化Antigen affinity purification

应用WB, IHC

种属反应性Human

免疫原描述Fusion protein of human TTC14

基因/蛋白名称TTC14

标记Unconjugated

别名DRDL5813; PRO19630

数据库入口号NCBI Protein#:BC027990

Uniprot Q96N46

Gene ID 151613

计算分子量88 kDa

浓度1mg/ml

配方pH7.4 PBS, 0.05% NaN3, 40% Glycerol

保存Store at -20˚C/1 year

应用详情
WB dilution:1:500-1:2000
IHC dilution:1:100-1:200
Gel: 8%SDS-PAGE, Lysate: 40 μg, Lane 1-2: Jurkat and Ramos cell lysates, Primary antibody:TTC14 Antibody at dilution 1/1000, Secondary antibody: Goat anti rabbit IgG at 1/5000 dilution, Exposure time: 5 minutes
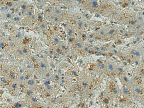
The image is immunohistochemistry of paraffin-embedded Human liver cancer tissue using (TTC14 Antibody) at dilution 1/130.
The function of this protein remains unknown.

如果您使用该产品31985发表了文章,请通知我们,让我们可以引用您的文献。

et al,Artemisinin inhibits neuronal ferroptosis in Alzheimer's disease models by targeting KEAP1 , (2025),
PMID: 39251858

注释

应用

  • WB免疫印迹
  • IHC免疫组化
  • IF免疫荧光
  • ICC免疫细胞化学
  • FC流式细胞
  • IP免疫沉淀
  • E酶联免疫吸附法
  • DB免疫斑点法
  • ChIP染色质免疫沉淀
  • GICA胶体金免疫层析法
  • NC阴性对照

种属反应性

  • Hu
  • Ms小鼠
  • Rt大鼠
  • Dm果蝇
  • C线虫
  • Mk
  • Rb
  • B
  • D
  • P
  • Hm仓鼠
  • ChHm中国仓鼠
  • Chk
;

联系我们

Location :

南京市高新开发区星火路10号人才大厦C座

Phone :

400-9961-933
025-58868422

Email Address

info@sabbiotech.com