免费电话:400-9961-933
邮箱:info@sabbiotech.com
欢迎光临本站
川博智能体 English
位置: 首页 > 多克隆抗体 > Bax Antibody

Bax Antibody#32011

是否有货: 货期一周
产品详情

产品名称Bax Antibody

来源种属Rabbit

克隆性Polyclonal

纯化Antibodies were purified by affinity purification using immunogen.

应用WB;IHC;IF;IP;ELISA

种属反应性Human;Mouse;Rat

特异性The antibody detects endogenous level of total Bax protein.

免疫原类型Recombinant Protein

免疫原描述Recombinant protein of human Bax .

基因/蛋白名称Bax

标记Unconjugated

别名BAX; BCL2L4;

数据库入口号Swiss-Prot:Q07812
NCBI Gene ID:581

Uniprot Q07812

计算分子量21kDa

实际分子量21kDa

浓度1.0mg/ml

配方Supplied at 1.0mg/mL in phosphate buffered saline (without Mg2+ and Ca2+), pH 7.4, 150mM NaCl, 0.02% sodium azide and 50% glycerol.

保存Store at -20˚C

应用详情
WB 1:500-1:2000; IHC 1:50-1:200; IF 1:50-1:200; ELISA 1:5000-1:20000; IP 1:50-1:200;
Western blot analysis of extracts from various cell lines using BAX antibody
Western blot analysis of extracts from normal (control) and BAX knockout (KO) 293T cells using BAX antibody.
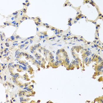
Immunohistochemistry of paraffin-embedded mouse lung using Bax antibody at dilution of 1:100 (40x lens).
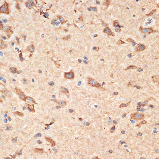
Immunohistochemistry of paraffin-embedded Mouse spinal cord using Bax antibody at dilution of 1:100 (40x lens).
Immunohistochemistry of paraffin-embedded Human tonsils using Bax antibody .
Immunofluorescence analysis of NIH/3T3 cells using BAX antibody at dilution of 1:100. Blue: DAPI for nuclear staining.
Immunofluorescence analysis of HeLa cells using BAX antibody at dilution of 1:100. Blue: DAPI for nuclear staining.
Immunofluorescence analysis of HepG2 cells using BAX antibody at dilution of 1:100. Blue: DAPI for nuclear staining.
Immunofluorescence analysis of MCF-7 cells using BAX antibody at dilution of 1:100. Blue: DAPI for nuclear staining.
Immunofluorescence analysis of PC-12 cells using BAX antibody at dilution of 1:100. Blue: DAPI for nuclear staining.
Bax is a key component for cellular induced apoptosis through mitochondrial stress (1). Upon apoptotic stimulation, Bax forms oligomers and translocates from the cytosol to the mitochondrial membrane (2). Through interactions with pore proteins on the mitochondrial membrane, Bax increases the membrane's permeability, which leads to the release of cytochrome c from mitochondria, activation of caspase-9 and initiation of the caspase activation pathway for apoptosis (3,4).

如果您使用该产品32011发表了文章,请通知我们,让我们可以引用您的文献。

et al,miR-137 and miR-197 induce apoptosis and suppress tumorigenicity by targeting MCL-1 in multiple myeloma.In Clin Cancer Res on 2015 May 15 by Yijun Yang , Fei Li et al..PMID:25724519 , (2015),
PMID: 25724519
et al,Small molecule MIRA-1 induces in vitro and in vivo anti-myeloma activity and synergizes with current anti-myeloma agents.On Br J Cancer.On 2014 Apr 29 by Saha MN, Chen Y et al..PMID:24691427 , (2014),
PMID: 24691427

注释

应用

  • WB免疫印迹
  • IHC免疫组化
  • IF免疫荧光
  • ICC免疫细胞化学
  • FC流式细胞
  • IP免疫沉淀
  • E酶联免疫吸附法
  • DB免疫斑点法
  • ChIP染色质免疫沉淀
  • GICA胶体金免疫层析法
  • NC阴性对照

种属反应性

  • Hu
  • Ms小鼠
  • Rt大鼠
  • Dm果蝇
  • C线虫
  • Mk
  • Rb
  • B
  • D
  • P
  • Hm仓鼠
  • ChHm中国仓鼠
  • Chk
;

联系我们

Location :

南京市高新开发区星火路10号人才大厦C座

Phone :

400-9961-933
025-58868422

Email Address

info@sabbiotech.com