免费电话:400-9961-933
邮箱:info@sabbiotech.com
欢迎光临本站
川博智能体 English
位置: 首页 > 多克隆抗体 > FABP4 Antibody

FABP4 Antibody#32030

是否有货: 有货
产品详情

产品名称FABP4 Antibody

来源种属Rabbit

克隆性Polyclonal

纯化Antibodies were purified by affinity purification using immunogen.

应用WB IHC IF

种属反应性Human;Mouse;Rat

特异性The antibody detects endogenous level of total FABP4 protein.

免疫原类型Recombinant Protein

免疫原描述Recombinant protein of human FABP4.

基因/蛋白名称FABP4

标记Unconjugated

别名FABP4; aP2; ALBP; Fattyacidbindingprotein4; AFABP

数据库入口号Swiss-Prot:P15090
NCBI Gene ID:2167

Uniprot P15090

实际分子量15KD

浓度1.0mg/ml

配方Supplied at 1.0mg/mL in phosphate buffered saline (without Mg2+ and Ca2+), pH 7.4, 150mM NaCl, 0.02% sodium azide and 50% glycerol.

保存Store at -20˚C

应用详情
Western blotting: 1:500 - 1:2000
Immunohistochemistry: 1:50 - 1:200
Immunofluorescence: 1:50 - 1:200
Western blot analysis of extracts of various cell lines , using FABP4 antibody.
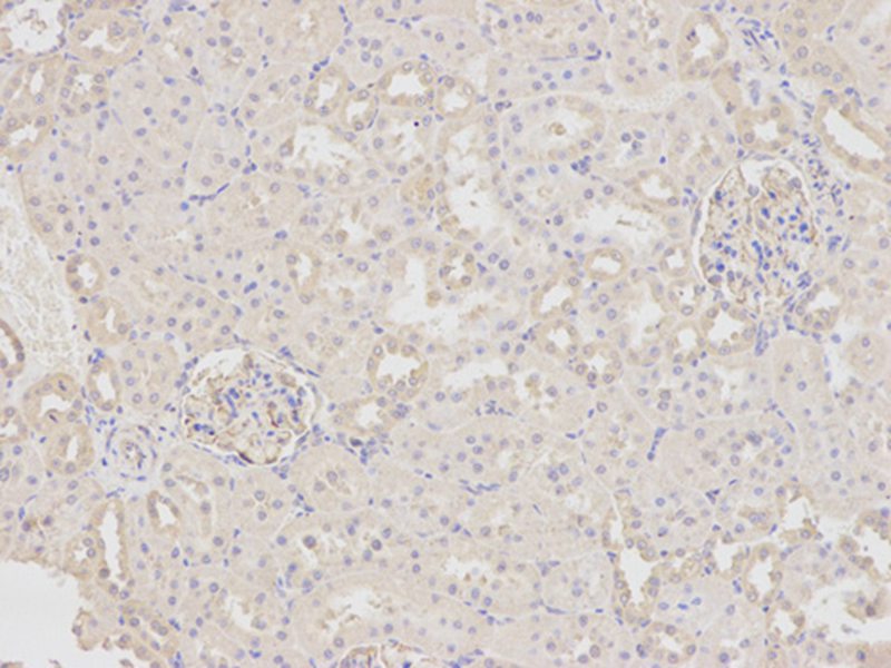
Immunohistochemical analysis of paraffin-embedded human kidney using FABP4 antibody at dilution of 1:200 (200x lens).
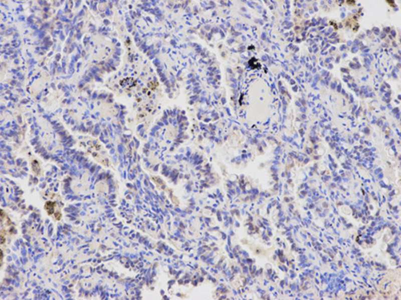
Immunohistochemical analysis of paraffin-embedded human lung cancer using FABP4 antibody at dilution of 1:200 (200x lens).
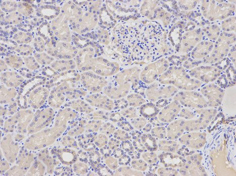
Immunohistochemical analysis of paraffin-embedded rat kidney using FABP4 antibody at dilution of 1:200 (200x lens).
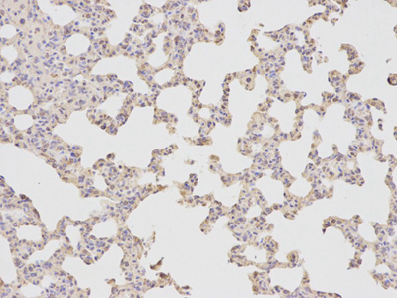
Immunohistochemical analysis of paraffin-embedded rat lung using FABP4 antibody at dilution of 1:200 (200x lens).
Immunofluorescence analysis of HeLa cell using FABP4 antibody. Blue: DAPI for nuclear staining.
Fatty acid binding proteins (FABPs) bind to fatty acids and other lipids to function as cytoplasmic lipid chaperones (1). They participate in the transport of fatty acids and other lipids to various cellular pathways (2). The predominant fatty acid binding protein found in adipocytes is FABP4, also called adipocyte fatty acid binding protein or aP2. FABP4 is also expressed in macrophages (3). FABP4 knockout mice fed a high-fat and high-calorie diet become obese but develop neither insulin resistance nor diabetes, suggesting that this protein might be a link between obesity and insulin resistance and diabetes (4). Mice deficient in both FABP4 and ApoE show protection against atherosclerosis when compared with mice deficient only in ApoE (3). Mice carrying a FABP4 genetic variant exhibit both reduced FABP4 expression and a reduced potential for developing type 2 diabetes and coronary heart disease. A related study in humans indicated a similar pattern, suggesting that FABP4 may be a potential therapeutic target in the treatment of these disorders (1).

如果您使用该产品32030发表了文章,请通知我们,让我们可以引用您的文献。

et al,FABP4 accelerates glioblastoma cell growth and metastasis through Wnt10b signalling.In Eur Rev Med Pharmacol Sci.On 2018 Nov by Li HY, Lv BB et al..PMID:30536325 , (2018),
PMID: 30536325

注释

应用

  • WB免疫印迹
  • IHC免疫组化
  • IF免疫荧光
  • ICC免疫细胞化学
  • FC流式细胞
  • IP免疫沉淀
  • E酶联免疫吸附法
  • DB免疫斑点法
  • ChIP染色质免疫沉淀
  • GICA胶体金免疫层析法
  • NC阴性对照

种属反应性

  • Hu
  • Ms小鼠
  • Rt大鼠
  • Dm果蝇
  • C线虫
  • Mk
  • Rb
  • B
  • D
  • P
  • Hm仓鼠
  • ChHm中国仓鼠
  • Chk
;

联系我们

Location :

南京市高新开发区星火路10号人才大厦C座

Phone :

400-9961-933
025-58868422

Email Address

info@sabbiotech.com