免费电话:400-9961-933
邮箱:info@sabbiotech.com
欢迎光临本站
川博智能体 English
位置: 首页 > 多克隆抗体 > BTK Antibody

BTK Antibody#32321

是否有货: 有货
产品详情

产品名称BTK Antibody

来源种属Rabbit

克隆性Polyclonal

亚型IgG

纯化Affinity purification

应用WB,IHC

种属反应性Human;Mouse;Rat

特异性The antibody detects endogenous level of total BTK protein.

免疫原类型Recombinant Protein

免疫原描述Recombinant fusion protein of human BTK (NP_000052.1).

基因/蛋白名称BTK

标记Unconjugated

别名AGMX1;AT;ATK;BPK;IMD1;PSCTK1;XLA;BTK

数据库入口号Uniprot:Q06187
GeneID:695

Uniprot Q06187

Gene ID 695

实际分子量Refer to Figures

浓度1.0mg/ml

配方PBS with 0.02% sodium azide,50% glycerol,pH7.3.

保存Store at -20˚C. Avoid freeze / thaw cycles.

应用详情
WB 1:500 - 1:2000
IHC 1:50 - 1:100
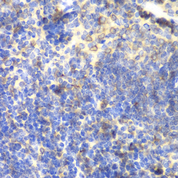
Immunohistochemistry of paraffin-embedded mouse spleen using BTK antibody.
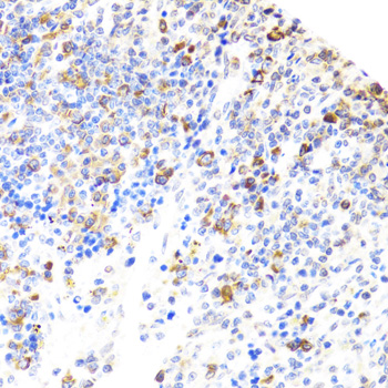
Immunohistochemistry of paraffin-embedded rat spleen using BTK antibody.
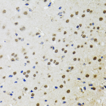
Immunohistochemistry of paraffin-embedded mouse brain using BTK antibody.
The protein encoded by this gene plays a crucial role in B-cell development. Mutations in this gene cause X-linked agammaglobulinemia type 1, which is an immunodeficiency characterized by the failure to produce mature B lymphocytes, and associated with a failure of Ig heavy chain rearrangement. Alternative splicing results in multiple transcript variants encoding different isoforms.

如果您使用该产品32321发表了文章,请通知我们,让我们可以引用您的文献。

et al,BAP31 Plays an Essential Role in Mouse B Cell Development via Regulation of BCR Signaling. In Int J Mol Sci on 2024 May 2 by Bo Zhao, Fei An,et al..PMID:38732181 , (2024),
PMID: 38732181

注释

应用

  • WB免疫印迹
  • IHC免疫组化
  • IF免疫荧光
  • ICC免疫细胞化学
  • FC流式细胞
  • IP免疫沉淀
  • E酶联免疫吸附法
  • DB免疫斑点法
  • ChIP染色质免疫沉淀
  • GICA胶体金免疫层析法
  • NC阴性对照

种属反应性

  • Hu
  • Ms小鼠
  • Rt大鼠
  • Dm果蝇
  • C线虫
  • Mk
  • Rb
  • B
  • D
  • P
  • Hm仓鼠
  • ChHm中国仓鼠
  • Chk
;

联系我们

Location :

南京市高新开发区星火路10号人才大厦C座

Phone :

400-9961-933
025-58868422

Email Address

info@sabbiotech.com