免费电话:400-9961-933
邮箱:info@sabbiotech.com
欢迎光临本站
川博智能体 English
位置: 首页 > 多克隆抗体 > SLC25A4 Antibody

SLC25A4 Antibody#32484

是否有货: 有货
产品详情

产品名称SLC25A4 Antibody

来源种属Rabbit

克隆性Polyclonal

亚型IgG

纯化Affinity purification

应用WB;IHC

种属反应性Human;Mouse;Rat

特异性The antibody detects endogenous level of total SLC25A4 protein.

免疫原类型Recombinant Protein

免疫原描述Synthetic peptide of human SLC25A4

基因/蛋白名称SLC25A4

标记Unconjugated

别名SLC25A4;AAC1;ANT;ANT 1;ANT1;MTDPS12;MTDPS12A;PEO2;PEO3;PEOA2;T1

数据库入口号Uniprot:P12235
GeneID:291

Uniprot P12235

Gene ID 291

实际分子量33KDa

浓度1.0mg/ml

配方pH7.4 PBS, 0.05% NaN3, 40% Glycerol

保存Store at -20˚C. Avoid freeze / thaw cycles.

应用详情
WB 1:1000-1:5000;
IHC 1:50-1:200;
Gel: 12%SDS-PAGE
Lysate: 40 ug
Lane: Mouse heart tissue lysate
Primary antibody: (SLC25A4 Antibody) at dilution 1/800
Secondary antibody: (HRP-conjugated Goat anti rabbit IgG) at 1/5000 dilution
Exposure time: 10 seconds
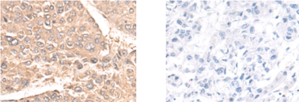
The image on the left is immunohistochemistry of paraffinembedded Human liver cancer tissue using (SLC25A4 Antibody) at dilution 1/50, on the right is treated with synthetic peptide. (Original magnification: 200)
The image on the left is immunohistochemistry of paraffinembedded Human breast cancer tissue using (SLC25A4 Antibody) at dilution 1/50, on the right is treated with synthetic peptide. (Original magnification: 200)
This gene is a member of the mitochondrial carrier subfamily of solute carrier protein genes. The product of this gene functions as a gated pore that translocates ADP from the cytoplasm into the mitochondrial matrix and ATP from the mitochondrial matrix into the cytoplasm. The protein forms a homodimer embedded in the inner mitochondria membrane. Mutations in this gene have been shown to result in autosomal dominant progressive external opthalmoplegia and familial hypertrophic cardiomyopathy.

如果您使用该产品32484发表了文章,请通知我们,让我们可以引用您的文献。

et al,Inhibition of mitochondrial permeability transition by deletion of the ANT family and CypD. In Sci Adv on 2019 Aug 28 by Karch J, Bround MJ, et al..PMID:31489369 , (2019),
PMID: 31489369
et al,ATP synthase C-subunit-deficient mitochondria have a small cyclosporine A-sensitive channel, but lack the permeability transition pore. In Cell Rep on 2019 Jan 2 by Maria A Neginskaya, Maria E Solesio, et al..PMID: 30605668 , (2019),
PMID: 30605668
et al,A mitochondrial megachannel resides in monomeric F 1 FO ATP synthase. In Nat Commun on 2019 Dec 20 by Nelli Mnatsakanyan, Marc C Llaguno,et al..PMID: 31862883 , (2019),
PMID: 31862883
et al,ANT-dependent MPTP underlies necrotic myofiber death in muscular dystrophyInSci AdvOn2023 Aug 25byMichael J Bround?1,?Julian R Havens et al..PMID: 37624892 , (2023),
PMID: 37624892
et al,The adenine nucleotide translocase family underlies cardiac ischemia-reperfusion injury through the mitochondrial permeability pore independently of cyclophilin D , (2024),
PMID:
et al,DNAH3 deficiency causes flagellar inner dynein arm loss and male infertility in humans and mice , (2024),
PMID:
et al,Atad3 is Essential for Mitochondrial Permeability Transition Pore Opening and Cardiac Ischemia Reperfusion Injury , (2025),
PMID: 40667381

注释

应用

  • WB免疫印迹
  • IHC免疫组化
  • IF免疫荧光
  • ICC免疫细胞化学
  • FC流式细胞
  • IP免疫沉淀
  • E酶联免疫吸附法
  • DB免疫斑点法
  • ChIP染色质免疫沉淀
  • GICA胶体金免疫层析法
  • NC阴性对照

种属反应性

  • Hu
  • Ms小鼠
  • Rt大鼠
  • Dm果蝇
  • C线虫
  • Mk
  • Rb
  • B
  • D
  • P
  • Hm仓鼠
  • ChHm中国仓鼠
  • Chk
;

联系我们

Location :

南京市高新开发区星火路10号人才大厦C座

Phone :

400-9961-933
025-58868422

Email Address

info@sabbiotech.com