免费电话:400-9961-933
邮箱:info@sabbiotech.com
欢迎光临本站
川博智能体 English
位置: 首页 > 多克隆抗体 > HDAC3 Antibody

HDAC3 Antibody#32620

是否有货: 有货
产品详情

产品名称HDAC3 Antibody

来源种属Rabbit

克隆性Polyclonal

纯化Antibodies were purified by affinity purification using immunogen.

应用WB,IHC,IF

种属反应性Human;Mouse;Rat

特异性The antibody detects endogenous level of total HDAC3 protein.

免疫原类型Peptide

免疫原描述A synthetic peptide of human HDAC3.

基因/蛋白名称HDAC3

标记Unconjugated

别名HD3; RPD3; RPD3-2;

数据库入口号Swiss-Prot:O15379
NCBI Gene ID:8841

Uniprot O15379

实际分子量49KD

浓度1.0mg/ml

配方Supplied at 1.0mg/mL in phosphate buffered saline (without Mg2+ and Ca2+), pH 7.4, 150mM NaCl, 0.02% sodium azide and 50% glycerol.

保存Store at -20˚C

应用详情
WB 1:500 - 1:2000
IHC 1:50 - 1:200
IF 1:50 - 1:200
Immunohistochemistry of paraffin-embedded mouse liver using HDAC3 antibody at dilution of 1:100 (40x lens).
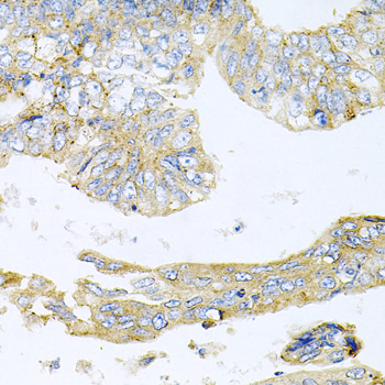
Immunohistochemistry of paraffin-embedded human lung cancer using HDAC3 antibody at dilution of 1:100 (40x lens).
Immunohistochemistry of paraffin-embedded human colon carcinoma using HDAC3 antibody at dilution of 1:100 (40x lens).
Immunohistochemistry of paraffin-embedded human stomach using HDAC3 antibody at dilution of 1:100 (40x lens).
Immunofluorescence analysis of HeLa cells using HDAC3 Polyclonal antibody at dilution of 1:100 (40x lens). Blue: DAPI for nuclear staining.
Western blot analysis of extracts of various cell lines, using HDAC3 antibody at 1:1000 dilution.
Western blot analysis of extracts of mouse brain, using HDAC3 antibody at 1:1000 dilution.
Acetylation of the histone tail causes chromatin to adopt an "open" conformation, allowing increased accessibility of transcription factors to DNA. The identification of histone acetyltransferases (HATs) and their large multiprotein complexes has yielded important insights into how these enzymes regulate transcription (1,2). HAT complexes interact with sequence-specific activator proteins to target specific genes. In addition to histones, HATs can acetylate nonhistone proteins, suggesting multiple roles for these enzymes (3). In contrast, histone deacetylation promotes a "closed" chromatin conformation and typically leads to repression of gene activity (4). Mammalian histone deacetylases can be divided into three classes on the basis of their similarity to various yeast deacetylases (5). Class I proteins (HDACs 1, 2, 3, and 8) are related to the yeast Rpd3-like proteins, those in class II (HDACs 4, 5, 6, 7, 9, and 10) are related to yeast Hda1-like proteins, and class III proteins are related to the yeast protein Sir2. Inhibitors of HDAC activity are now being explored as potential therapeutic cancer agents (6,7). HDAC3 is a nuclear and cytoplasmic protein that deacetylates both histone (H2A, H3, H4) and non-histone substrates (RelA, SRY, p53, MEF2, PCAF and p300/CBP) (8). HDAC3 deacetylase activity is stimulated by interactions with the N-CoR and SMRT co-repressor proteins. Together, these three proteins form a functional complex that represses transcription associated with nuclear hormone receptors and other transcription factors, including Rev-Erb, COUP-TF, DAX1, MAD and Pit-1 (8,9). Phosphorylation of HDAC3 on Ser424 by casein kinase 2 (CK2) also increases HDAC3 deacetylase activity (9). Subsequently, de-phosphorylation by protein phosphatase 4 (PP4) decreases HDAC3 activity (9).

如果您使用该产品32620发表了文章,请通知我们,让我们可以引用您的文献。

et al,Oxytropis falcata bunge extract combined with black soybean oil ameliorates DNCB-induced atopic dermatitis-like skin inflammation , (2025),
PMID: 40612737

注释

应用

  • WB免疫印迹
  • IHC免疫组化
  • IF免疫荧光
  • ICC免疫细胞化学
  • FC流式细胞
  • IP免疫沉淀
  • E酶联免疫吸附法
  • DB免疫斑点法
  • ChIP染色质免疫沉淀
  • GICA胶体金免疫层析法
  • NC阴性对照

种属反应性

  • Hu
  • Ms小鼠
  • Rt大鼠
  • Dm果蝇
  • C线虫
  • Mk
  • Rb
  • B
  • D
  • P
  • Hm仓鼠
  • ChHm中国仓鼠
  • Chk
;

联系我们

Location :

南京市高新开发区星火路10号人才大厦C座

Phone :

400-9961-933
025-58868422

Email Address

info@sabbiotech.com