免费电话:400-9961-933
邮箱:info@sabbiotech.com
欢迎光临本站
川博智能体 English
位置: 首页 > 多克隆抗体 > Histone H3 Antibody

Histone H3 Antibody#32667

是否有货: 有货
产品详情

产品名称Histone H3 Antibody

来源种属Rabbit

克隆性Polyclonal

亚型IgG

纯化Affinity purification

应用WB;IHC;IF;IP;ELSIA

种属反应性Human;Mouse;Rat

特异性The antibody detects endogenous level of total Histone H3 protein.

免疫原类型Recombinant Protein

免疫原描述A synthetic peptide of human HIST3H3 (NP_003484.1).

基因/蛋白名称Histone H3

标记Unconjugated

别名H3.4;H3/g;H3FT;H3t;HIST3H3;Histone H3;HIST1H3A

数据库入口号Uniprot:Q16695
GeneID:8290

Uniprot Q16695

Gene ID 8290

计算分子量16kDa

实际分子量17kDa

浓度1.0mg/ml

配方PBS with 0.02% sodium azide,50% glycerol,pH7.3.

保存Store at -20˚C. Avoid freeze / thaw cycles.

应用详情
WB 1:2000-1:10000; IHC 1:200-1:1000; IF 1:200-1:1000; ELISA 1:5000-1:20000; IP 1:50-1:200;
Western blot analysis of extracts from various cell lines using Histone H3 antibody.
Western blot analysis of extracts from Rat lung using Histone H3 antibody.
Immunohistochemistry of paraffin-embedded rat brain using Histone H3 antibody.
Immunohistochemistry of paraffin-embedded human appendix using Histone H3 antibody.
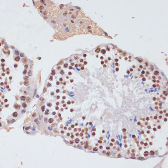
Immunohistochemistry of paraffin-embedded mouse testis using Histone H3 antibody.
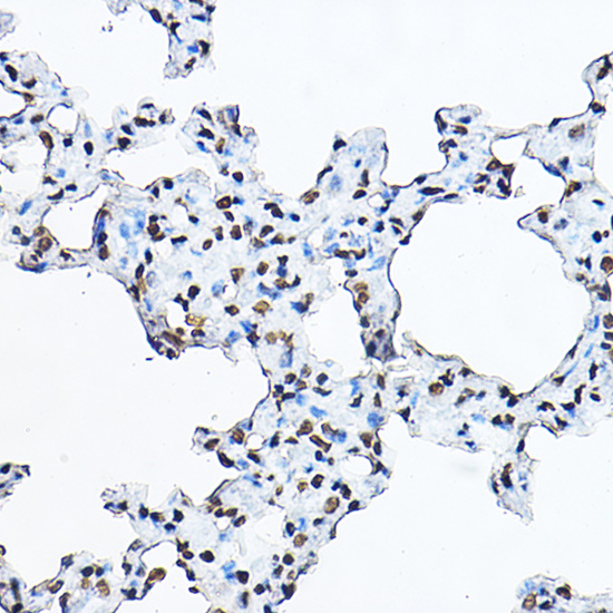
Immunohistochemistry of paraffin-embedded rat lung using Histone H3 Rabbit pAb.
Immunohistochemistry of paraffin-embedded human liver using Histone H3 Rabbit pAb.
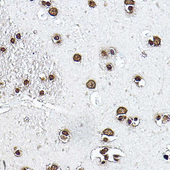
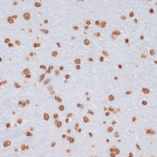
Immunohistochemistry of paraffin-embedded human brain using Histone H3 Rabbit pAb.
Immunohistochemistry of paraffin-embedded mouse kidney using Histone H3 Rabbit pAb.
Immunofluorescence analysis of paraffin-embedded mouse testis using Histone H3 Antibody at dilution of 1:200 (40x lens).
Immunofluorescence analysis of paraffin-embedded rat testis using Histone H3 Antibody at dilution of 1:200 (40x lens).
Histones are basic nuclear proteins that are responsible for the nucleosome structure of the chromosomal fiber in eukaryotes. Nucleosomes consist of approximately 146 bp of DNA wrapped around a histone octamer composed of pairs of each of the four core histones (H2A, H2B, H3, and H4). The chromatin fiber is further compacted through the interaction of a linker histone, H1, with the DNA between the nucleosomes to form higher order chromatin structures. This gene is intronless and encodes a replication-dependent histone that is a member of the histone H3 family. Transcripts from this gene lack polyA tails; instead, they contain a palindromic termination element. This gene is located separately from the other H3 genes that are in the histone gene cluster on chromosome 6p22-p21.3.

如果您使用该产品32667发表了文章,请通知我们,让我们可以引用您的文献。

et al,Rho signalIng pathway enhances proliferation of PASMCs by suppressing nuclear translocation of Smad1 in PAH. In Exp Ther Med on 2019 Jan by Wei H, Zhang D, et al..PMID:30603049 , (2019),
PMID: 30603049
et al, Anthocyanins inhibit high-glucose-induced cholesterol accumulation and inflammation by activating LXR伪 pathway in HK-2 cells.In Drug Des Devel Ther on 2015 Sep 4 by Chunyang Du , Yonghong Shi et al..PMID:26379423 , (2015),
PMID: 26379423
et al,Sevoflurane preconditioning protects experimental ischemic stroke by enhancing anti-inflammatory microglia/macrophages phenotype polarization through GSK-3尾/Nrf2 pathway. In CNS Neurosci Ther on 2021 Nov by Min Cai, Sisi Sun, et al..PMID:34370899 , (2021),
PMID: 34370899
et al,Dietary emulsifier Polysorbate 80-induced lipotoxicity promotes intestinal senescence , (2025),
PMID: 40253120
et al,Novel oxicam nonsteroidal compound XK01 attenuates inflammation by suppressing the NF-κB and MAPK pathway in RAW264.7 macrophages. In Heliyon on 2024 Jan 9 by Jixiang Wang, Jiawang Tan,et al..PMID:38312593 , (2024),
PMID: 38312593

注释

应用

  • WB免疫印迹
  • IHC免疫组化
  • IF免疫荧光
  • ICC免疫细胞化学
  • FC流式细胞
  • IP免疫沉淀
  • E酶联免疫吸附法
  • DB免疫斑点法
  • ChIP染色质免疫沉淀
  • GICA胶体金免疫层析法
  • NC阴性对照

种属反应性

  • Hu
  • Ms小鼠
  • Rt大鼠
  • Dm果蝇
  • C线虫
  • Mk
  • Rb
  • B
  • D
  • P
  • Hm仓鼠
  • ChHm中国仓鼠
  • Chk
;

联系我们

Location :

南京市高新开发区星火路10号人才大厦C座

Phone :

400-9961-933
025-58868422

Email Address

info@sabbiotech.com