免费电话:400-9961-933
邮箱:info@sabbiotech.com
欢迎光临本站
川博智能体 English
位置: 首页 > 多克隆抗体 > SDHA Antibody

SDHA Antibody#32741

是否有货: 有货
产品详情

产品名称SDHA Antibody

来源种属Rabbit

克隆性Polyclonal

纯化Antibodies were purified by affinity purification using immunogen.

应用WB,IHC,IF

种属反应性Human;Mouse;Rat

特异性The antibody detects endogenous level of total SDHA protein.

免疫原类型Recombinant Protein

免疫原描述Recombinant protein of human SDHA.

基因/蛋白名称SDHA

标记Unconjugated

别名FP; PGL5; SDH1; SDH2; SDHF

数据库入口号Swiss-Prot:P31040
NCBI Gene ID:6389

Uniprot P31040

实际分子量72KD

浓度1.0mg/ml

配方Supplied at 1.0mg/mL in phosphate buffered saline (without Mg2+ and Ca2+), pH 7.4, 150mM NaCl, 0.02% sodium azide and 50% glycerol.

保存Store at -20˚C

应用详情
WB 1:500 - 1:2000
IHC 1:50 - 1:200
IF 1:10 - 1:100
Immunofluorescence analysis of HeLa cells using SDHA antibody. Blue: DAPI for nuclear staining.
Western blot analysis of extracts of various cell lines, using SDHA antibody at 1:1000 dilution.
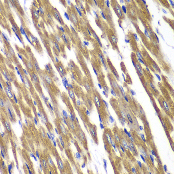
Immunohistochemistry of paraffin-embedded rat heart using SDHA antibody at dilution of 1:100 (40x lens).
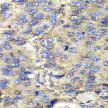
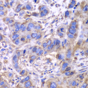
Immunohistochemistry of paraffin-embedded human liver cancer using SDHA antibody at dilution of 1:100 (40x lens).
Immunohistochemistry of paraffin-embedded human esophageal cancer using SDHA antibody at dilution of 1:100 (40x lens).
This gene encodes a major catalytic subunit of succinate-ubiquinone oxidoreductase, a complex of the mitochondrial respiratory chain. The complex is composed of four nuclear-encoded subunits and is localized in the mitochondrial inner membrane. Mutations in this gene have been associated with a form of mitochondrial respiratory chain deficiency known as Leigh Syndrome. A pseudogene has been identified on chromosome 3q29.

如果您使用该产品32741发表了文章,请通知我们,让我们可以引用您的文献。

et al,Multifunctional manganese-based nanogels catalyze immune energy metabolism to promote bone repair , (2025),
PMID:

注释

应用

  • WB免疫印迹
  • IHC免疫组化
  • IF免疫荧光
  • ICC免疫细胞化学
  • FC流式细胞
  • IP免疫沉淀
  • E酶联免疫吸附法
  • DB免疫斑点法
  • ChIP染色质免疫沉淀
  • GICA胶体金免疫层析法
  • NC阴性对照

种属反应性

  • Hu
  • Ms小鼠
  • Rt大鼠
  • Dm果蝇
  • C线虫
  • Mk
  • Rb
  • B
  • D
  • P
  • Hm仓鼠
  • ChHm中国仓鼠
  • Chk
;

联系我们

Location :

南京市高新开发区星火路10号人才大厦C座

Phone :

400-9961-933
025-58868422

Email Address

info@sabbiotech.com