免费电话:400-9961-933
邮箱:info@sabbiotech.com
欢迎光临本站
川博智能体 English
位置: 首页 > 多克隆抗体 > CHRNA1 Antibody

CHRNA1 Antibody#32760

是否有货: 有货
产品详情

产品名称CHRNA1 Antibody

来源种属Rabbit

克隆性Polyclonal

纯化Antibodies were purified by affinity purification using immunogen.

应用WB;IHC;IF

种属反应性Human;Mouse

特异性The antibody detects endogenous level of total CHRNA1 protein.

免疫原类型Recombinant Protein

免疫原描述Recombinant protein of human CHRNA1.

基因/蛋白名称CHRNA1

标记Unconjugated

别名ACHRA; ACHRD; CHRNA; CMS2A; FCCMS

数据库入口号Swiss-Prot:P02708
NCBI Gene ID:1134

Uniprot P02708

计算分子量52kDa

浓度1.0mg/ml

配方Supplied at 1.0mg/mL in phosphate buffered saline (without Mg2+ and Ca2+), pH 7.4, 150mM NaCl, 0.02% sodium azide and 50% glycerol.

保存Store at -20˚C

应用详情
WB 1:500-1:2000;
IHC 1:50-1:200;
IF 1:50-1:200
Western blot analysis of various lysates using CHRNA1 Antibody at 1:1000 dilution;
Secondary antibody: HRP-conjugated Goat anti-Rabbit IgG (H+L) at 1:10000 dilution;
Lysates/proteins: 25 ug per lane;
Blocking buffer: 3% nonfat dry milk in TBST;
Detection: ECL Basic Kit;
Exposure time: 90s
Immunohistochemistry analysis of paraffinembedded Human skeletal muscle tissue using CHRNA1 Antibody at a dilution of 1:100 (40X lens);
High pressure antigen retrieval was performed with 0.01 M citrate buffer (pH 6.0) prior to IHC staining.
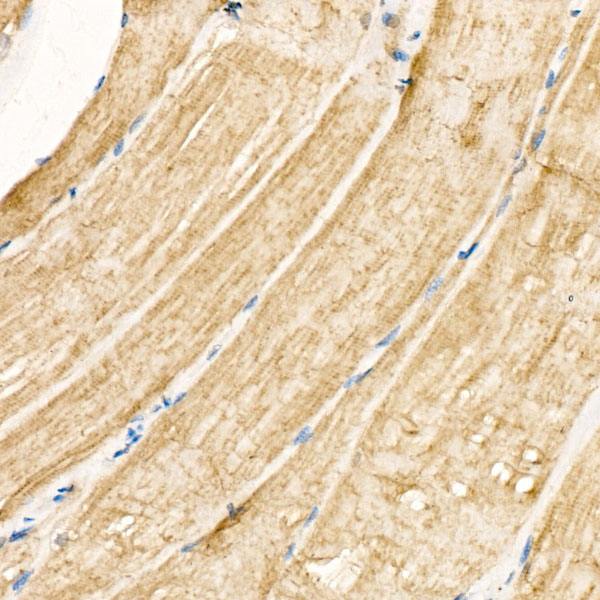
Immunofluorescence analysis of paraffinembedded Mouse heart using CHRNA1 Antibody at a dilution of 1:100 (40X lens);
Secondary antibody: Cy3 Goat Anti-Rabbit IgG (H+L) at 1:500 dilution;
Blue: DAPI for nuclear staining;
Perform high pressure antigen retrieval with 0.01 M citrate buffer (pH 6.0) prior to IF staining.
The muscle acetylcholine receptor consiststs of 5 subunits of 4 different types: 2 alpha subunits and 1 each of the beta, gamma, and delta subunits. This gene encodes an alpha subunit that plays a role in acetlycholine binding/channel gating. Alternatively spliced transcript variants encoding different isoforms have been identified.

如果您使用该产品32760发表了文章,请通知我们,让我们可以引用您的文献。

et al,Design and synthesis of a clickable, photoreactive amino acid p-(4-(but-3-yn-1-yl)benzoyl)-l-phenylalanine for peptide photoaffinity labelingInRSC AdvOn2023 Jan 4byPenggang Han?1,?Fuli Wang et al..PMID:?36686919 , (2023),
PMID: 36686919

注释

应用

  • WB免疫印迹
  • IHC免疫组化
  • IF免疫荧光
  • ICC免疫细胞化学
  • FC流式细胞
  • IP免疫沉淀
  • E酶联免疫吸附法
  • DB免疫斑点法
  • ChIP染色质免疫沉淀
  • GICA胶体金免疫层析法
  • NC阴性对照

种属反应性

  • Hu
  • Ms小鼠
  • Rt大鼠
  • Dm果蝇
  • C线虫
  • Mk
  • Rb
  • B
  • D
  • P
  • Hm仓鼠
  • ChHm中国仓鼠
  • Chk
;

联系我们

Location :

南京市高新开发区星火路10号人才大厦C座

Phone :

400-9961-933
025-58868422

Email Address

info@sabbiotech.com