免费电话:400-9961-933
邮箱:info@sabbiotech.com
欢迎光临本站
川博智能体 English
位置: 首页 > 多克隆抗体 > TK1 Antibody

TK1 Antibody#32920

是否有货: 有货
产品详情

产品名称TK1 Antibody

来源种属Rabbit

克隆性Polyclonal

纯化Antibodies were purified by affinity purification using immunogen.

应用WB IHC IF

种属反应性Human;Mouse;Rat

特异性The antibody detects endogenous level of total TK1 protein.

免疫原类型Recombinant Protein

免疫原描述Recombinant protein of human TK1.

基因/蛋白名称TK1

标记Unconjugated

别名TK2;

数据库入口号Swiss-Prot:P04183
NCBI Gene ID:7083

Uniprot P04183

实际分子量25KD

浓度1.0mg/ml

配方Supplied at 1.0mg/mL in phosphate buffered saline (without Mg2+ and Ca2+), pH 7.4, 150mM NaCl, 0.02% sodium azide and 50% glycerol.

保存Store at -20˚C

应用详情
Western blotting: 1:500 - 1:2000
Immunohistochemistry: 1:50 - 1:200
Immunofluorescence: 1:50 - 1:200
Western blot analysis of extracts of various cell lines, using TK1 antibody.
Immunofluorescence analysis of HeLa cell using TK1 antibody. Blue: DAPI for nuclear staining.
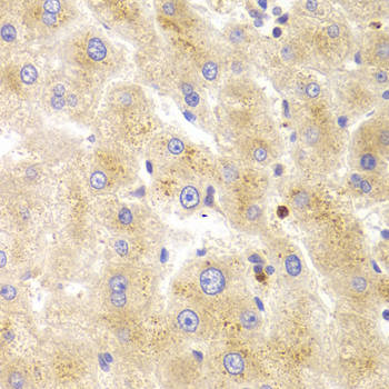
Immunohistochemistry of paraffin-embedded Human liver using TK1 antibody at dilution of 1:100 (x400 lens).
Thymidine kinases play a critical role in generating the DNA synthetic precursor deoxythymidine triphosphate (dTTP) by catalyzing the phosphotransfer of phosphate from ATP to deoxythymidine (dT) and thymidine (T) in the cell. There are two known thymidine kinases, cytoplasmic thymidine kinase 1 (TK1) and mitochondrial thymidine kinase 2 (TK2) (1,2). Unlike TK2, which is not modulated by the cell cycle, TK1 expression and activity is regulated in a cell cycle-dependent manner, accumulating during G1-phase to peak levels in S-phase before being degraded prior to cell division (3,4). Stability, but not activity, may be regulated via phosphorylation of TK1 at Ser13 by Cdc2 and/or Cdk2, but the precise mode of regulation remains elusive (5). These observations indicate that TK1 might be a useful marker of cell proliferation; however, recent studies have shown that TK1 plays a more significant role in the DNA damage response (6). Genotoxic stress promotes increased TK1 expression and kinase activity resulting in reduced cellular apoptosis and enhanced DNA repair efficiency (6). More importantly, numerous studies show that TK1 expression and activity are upregulated during neoplasia and disease progression in humans, and increased serum levels of TK1 correlate with poor prognosis and decreased survival in patients with various types of advanced tumors (7-12).

如果您使用该产品32920发表了文章,请通知我们,让我们可以引用您的文献。

et al,Serine Supplementation Attenuates High-Selenium-Induced Insulin Resistance via Feedback Inhibition of PHGDH in Mice , (2025),
PMID: 41264177

注释

应用

  • WB免疫印迹
  • IHC免疫组化
  • IF免疫荧光
  • ICC免疫细胞化学
  • FC流式细胞
  • IP免疫沉淀
  • E酶联免疫吸附法
  • DB免疫斑点法
  • ChIP染色质免疫沉淀
  • GICA胶体金免疫层析法
  • NC阴性对照

种属反应性

  • Hu
  • Ms小鼠
  • Rt大鼠
  • Dm果蝇
  • C线虫
  • Mk
  • Rb
  • B
  • D
  • P
  • Hm仓鼠
  • ChHm中国仓鼠
  • Chk
;

联系我们

Location :

南京市高新开发区星火路10号人才大厦C座

Phone :

400-9961-933
025-58868422

Email Address

info@sabbiotech.com