免费电话:400-9961-933
邮箱:info@sabbiotech.com
欢迎光临本站
川博智能体 English
位置: 首页 > 多克隆抗体 > FH Antibody

FH Antibody#32975

是否有货: 有货
产品详情

产品名称FH Antibody

来源种属Rabbit

克隆性Polyclonal

亚型IgG

纯化Affinity purification

应用WB,IHC,IF

种属反应性Human;Mouse;Rat

特异性The antibody detects endogenous level of total FH protein.

免疫原类型Recombinant Protein

免疫原描述Recombinant fusion protein of human FH (NP_000134.2).

基因/蛋白名称FH

标记Unconjugated

别名FH;FMRD;HLRCC;LRCC;MCL;MCUL1

数据库入口号Uniprot:P07954
GeneID:2271

Uniprot P07954

Gene ID 2271

实际分子量50kDa

浓度1.0mg/ml

配方PBS with 0.02% sodium azide,50% glycerol,pH7.3.

保存Store at -20˚C. Avoid freeze / thaw cycles.

应用详情
WB 1:500 - 1:2000
IHC 1:50 - 1:200
IF 1:50 - 1:100
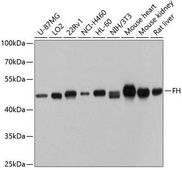
Western blot analysis of extracts of various cell lines, using FH antibody.
Immunofluorescence analysis of U2OS cells using FH antibody.
The protein encoded by this gene is an enzymatic component of the tricarboxylic acid (TCA) cycle, or Krebs cycle, and catalyzes the formation of L-malate from fumarate. It exists in both a cytosolic form and an N-terminal extended form, differing only in the translation start site used. The N-terminal extended form is targeted to the mitochondrion, where the removal of the extension generates the same form as in the cytoplasm. It is similar to some thermostable class II fumarases and functions as a homotetramer. Mutations in this gene can cause fumarase deficiency and lead to progressive encephalopathy.

如果您使用该产品32975发表了文章,请通知我们,让我们可以引用您的文献。

et al,GlcNAcylation of fumarase maintains tumour growth under glucose deficiency. , (2017),
PMID: 28628081
et al,PAK4 Phosphorylates Fumarase and Blocks TGFβ-Induced Cell Growth Arrest in Lung Cancer Cells. In Cancer Res on 2019 Apr 1 by Chen T, Wang T, et al..PMID:30683654 , (2019),
PMID: 30683654
et al,O-GlcNAcylation of Fumarase Maintains Tumour Growth Under Glucose Deficiency .In Nat Cell Biol ON 2017 Jul by Ting Wang , Qiujing Yu,et al..PMID: 28628081 , (2017),
PMID: 28628081
et al,Local generation of fumarate promotes DNA repair through inhibition of histone H3 demethylation.In Nat Cell Biol on 2015 Sep by Yuhui Jiang, Xu Qian et al..PMID:26237645 , (2015),
PMID: 26237645

注释

应用

  • WB免疫印迹
  • IHC免疫组化
  • IF免疫荧光
  • ICC免疫细胞化学
  • FC流式细胞
  • IP免疫沉淀
  • E酶联免疫吸附法
  • DB免疫斑点法
  • ChIP染色质免疫沉淀
  • GICA胶体金免疫层析法
  • NC阴性对照

种属反应性

  • Hu
  • Ms小鼠
  • Rt大鼠
  • Dm果蝇
  • C线虫
  • Mk
  • Rb
  • B
  • D
  • P
  • Hm仓鼠
  • ChHm中国仓鼠
  • Chk
;

联系我们

Location :

南京市高新开发区星火路10号人才大厦C座

Phone :

400-9961-933
025-58868422

Email Address

info@sabbiotech.com