免费电话:400-9961-933
邮箱:info@sabbiotech.com
欢迎光临本站
川博智能体 English
位置: 首页 > 多克隆抗体 > GRP78 Antibody

GRP78 Antibody#33395

是否有货: 有货
产品详情

产品名称GRP78 Antibody

来源种属Rabbit

克隆性Polyclonal

纯化The antibody was affinity-purified from rabbit antiserum by affinity-chromatography using epitope-specific immunogen.

应用WB;IHC;IF

种属反应性Human;Mouse;Rat

特异性The antibody detects endogenous levels of total GRP78 protein.

免疫原类型Peptide

免疫原描述Synthesized peptide derived from human GRP78.

基因/蛋白名称GRP78

标记Unconjugated

别名BIP; GLUCOSE-REGULATED PROTEIN 78-KD; HEAT-SHOCK 70-KD PROTEIN 5; IMMUNOGLOBULIN HEAVY CHAIN-BINDING PROTEIN; heat shock 70kDa protein 5 (glucose-regulated protein

数据库入口号Swiss-Prot: P11021
NCBI Gene ID: 3309

Uniprot P11021

计算分子量78kDa

实际分子量72-78kDa

浓度1.0mg/ml

配方Rabbit IgG in phosphate buffered saline (without Mg2+ and Ca2+), pH 7.4, 150mM NaCl, 0.02% sodium azide and 50% glycerol.

保存Store at -20˚C

应用详情

Western blotting: 1:500~1:3000
Immunohistochemistry: 1:50~1:100
Immunofluorescence: 1:100~1:500

Western blot analysis of extracts from various cell lines using GRP78 antibody.
Immunohistochemical analysis of paraffin-embedded human breast carcinoma tissue using GRP78 antibody.
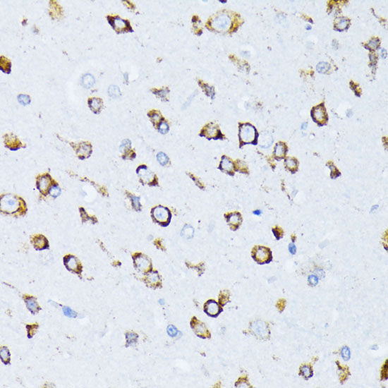
Immunohistochemical analysis of paraffin-embedded rat brain tissue using GRP78 antibody.
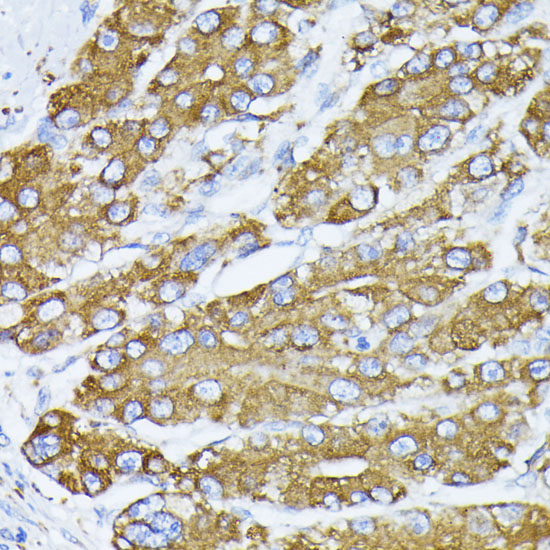
Immunohistochemical analysis of paraffin-embedded human liver cancer tissue using GRP78 antibody.
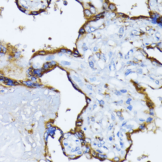
Immunohistochemical analysis of paraffin-embedded human placenta tissue using GRP78 antibody.
Immunofluorescence analysis of COS7 cells using GRP78 antibody.
Immunofluorescence analysis of HepG2 cells using GRP78 antibody.

Probably plays a role in facilitating the assembly of multimeric protein complexes inside the endoplasmic reticulum. Involved in the correct folding of proteins and degradation of misfolded proteins via its interaction with DNAJC10, probably to facilitate the release of DNAJC10 from its substrate.

Uma K. Misra, J. Biol. Chem., Oct 2002; 277: 42082 - 42087.
CA Clairmont, J. Biol. Chem., Feb 1992; 267: 3983 - 3990.
J Tooze, J. Cell Biol., Jul 1989; 109: 35.
Jong K. Yun, PNAS, Dec 1997; 94: 13903.

如果您使用该产品33395发表了文章,请通知我们,让我们可以引用您的文献。

et al,Tauroursodeoxycholic acid mediates endoplasmic reticulum stress and autophagy In adrenocortical carcInoma cells. In Oncol Lett on 2019 Dec by Huang X, Wu L, et al..PMID:31814847 , (2019),
PMID: 31814847
et al,Nerve Growth Factor Protects the Ischemic Heart via Attenuation of the Endoplasmic Reticulum Stress Induced Apoptosis by Activation of Phosphatidylinositol 3-Kinase.In Int J Med Sci on 2015 Jan 1 by Ke Wei, Li Liu et al..PMID: 25552923 , (2015),
PMID: 25552923
et al,Cetuximab enhances oridonin-induced apoptosis through mitochondrial pathway and endoplasmic reticulum stress in laryngeal squamous cell carcinoma cells. In Toxicol In Vitro on 2020 May 12 by Ning Kang, Shijie Cao, et al..PMID:32407876 , (2020),
PMID: 32407876
et al,Endoplasmic reticulum stress is involved in retinal injury induced by repeated transient spikes of intraocular pressure. In J Zhejiang Univ Sci B on 2021 Sept 15 by Xue Yang, Xiaowei Yu et al..PMID: 34514754 , (2021),
PMID: 34514754
et al,Tauroursodeoxycholic acid mediates endoplasmic reticulum stress and autophagy in adrenocortical carcinoma cells , (2019),
PMID: 31814847
et al,Ginsenosides reduce body weight and ameliorate hepatic steatosis in high fat diet?induced obese mice via endoplasmic reticulum stress and p?STAT3/STAT3 signaling.In Mol Med Rep on 2020 Mar; by Yao Y et al..PMID:32016448 , (2020),
PMID: 32016448

注释

应用

  • WB免疫印迹
  • IHC免疫组化
  • IF免疫荧光
  • ICC免疫细胞化学
  • FC流式细胞
  • IP免疫沉淀
  • E酶联免疫吸附法
  • DB免疫斑点法
  • ChIP染色质免疫沉淀
  • GICA胶体金免疫层析法
  • NC阴性对照

种属反应性

  • Hu
  • Ms小鼠
  • Rt大鼠
  • Dm果蝇
  • C线虫
  • Mk
  • Rb
  • B
  • D
  • P
  • Hm仓鼠
  • ChHm中国仓鼠
  • Chk
;

联系我们

Location :

南京市高新开发区星火路10号人才大厦C座

Phone :

400-9961-933
025-58868422

Email Address

info@sabbiotech.com