免费电话:400-9961-933
邮箱:info@sabbiotech.com
欢迎光临本站
川博智能体 English
位置: 首页 > 多克隆抗体 > PCNA Antibody

PCNA Antibody#33468

是否有货: 有货
产品详情

产品名称PCNA Antibody

来源种属Rabbit

克隆性Polyclonal

纯化The antibody was affinity-purified from rabbit antiserum by affinity-chromatography using epitope-specific immunogen.

应用WB IHC

种属反应性Human;Mouse;Rat

特异性The antibody detects endogenous levels of total PCNA protein.

免疫原类型Peptide

免疫原描述Synthesized peptide derived from human PCNA.

基因/蛋白名称PCNA

标记Unconjugated

别名cyclin; proliferating cell nuclear antigen;

数据库入口号Swiss-Prot: P12004
NCBI Gene ID: 5111

Uniprot P12004

实际分子量36kd

浓度1.0mg/ml

配方Rabbit IgG in phosphate buffered saline (without Mg2+ and Ca2+), pH 7.4, 150mM NaCl, 0.02% sodium azide and 50% glycerol.

保存Store at -20˚C

应用详情
Western blotting: 1:500~1:3000
Immunohistochemistry: 1:50~1:100
Western blot analysis of extracts from HepG2 cells, using PCNA antibody #33468.
Western blot analysis of extracts from Hela cells (Lane 2), colo cells(Lane 3), HepG2 cells (Lane 4) and 293 cells (Lane 5) using PCNA antiobdy #33468. The lane on the left is treated with synthesized peptide.
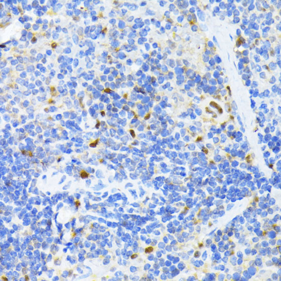
Immunohistochemistry of paraffin-embedded rat spleen using PCNA at dilution of 1:100 (40x lens).
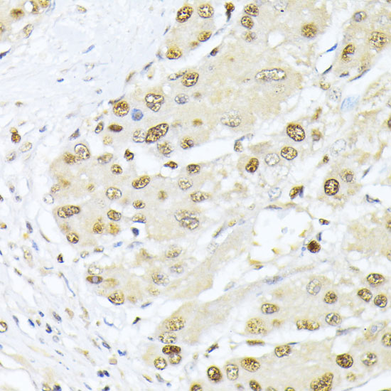
Immunohistochemistry of paraffin-embedded human liver cancer using PCNA at dilution of 1:100 (40x lens).
Immunohistochemistry of paraffin-embedded mouse spleen using PCNA at dilution of 1:100 (40x lens).
Auxiliary protein of DNA polymerase delta and is involved in the control of eukaryotic DNA replication by increasing the polymerase's processibility during elongation of the leading strand. Induces a robust stimulatory effect on the 3'-5' exonuclease and 3'-phosphodiesterase, but not apurinic-apyrimidinic (AP) endonuclease, APEX2 activities. Has to be loaded onto DNA in order to be able to stimulate APEX2. Plays a key role in DNA damage response (DDR) by being conveniently positioned at the replication fork to coordinate DNA replication with DNA repair and DNA damage tolerance pathways. Acts as a loading platform to recruit DDR proteins that allow completion of DNA replication after DNA damage and promote postreplication repair: Monoubiquitinated PCNA leads to recruitment of translesion (TLS) polymerases, while 'Lys-63'-linked polyubiquitination of PCNA is involved in error-free pathway and employs recombination mechanisms to synthesize across the lesion.

Anje Sporbert, Nucleic Acids Res., Jun 2005; 33: 3521 - 3528.
Sean C. Gehen, Am J Physiol Lung Cell Mol Physiol, Mar 2007; 292: L716 - L724.
Basavaraj Bagewadi, J. Virol., Nov 2004; 78: 11890 - 11903.
T Iida, I Suetake, Genes Cells, Oct 2002; 7: 997 -

如果您使用该产品33468发表了文章,请通知我们,让我们可以引用您的文献。

et al,Eurycomalactone switched hepatocellular carcinoma cells into quiescence through 5'tRFAla/DVL/β-catenin pathway inhibition. , (2025),
PMID: 40128187

注释

应用

  • WB免疫印迹
  • IHC免疫组化
  • IF免疫荧光
  • ICC免疫细胞化学
  • FC流式细胞
  • IP免疫沉淀
  • E酶联免疫吸附法
  • DB免疫斑点法
  • ChIP染色质免疫沉淀
  • GICA胶体金免疫层析法
  • NC阴性对照

种属反应性

  • Hu
  • Ms小鼠
  • Rt大鼠
  • Dm果蝇
  • C线虫
  • Mk
  • Rb
  • B
  • D
  • P
  • Hm仓鼠
  • ChHm中国仓鼠
  • Chk
;

联系我们

Location :

南京市高新开发区星火路10号人才大厦C座

Phone :

400-9961-933
025-58868422

Email Address

info@sabbiotech.com