免费电话:400-9961-933
邮箱:info@sabbiotech.com
欢迎光临本站
川博智能体 English
位置: 首页 > 多克隆抗体 > BAX Antibody

BAX Antibody#34260

是否有货: 有货
产品详情

产品名称BAX Antibody

来源种属Rabbit

克隆性Polyclonal

纯化The antibody was affinity-purified from rabbit antiserum by affinity-chromatography using epitope-specific immunogen.

应用WB IHC IF

种属反应性Human;Mouse;Rat

特异性The antibody detects endogenous levels of total BAX protein.

免疫原类型Peptide

免疫原描述Synthesized peptide derived from internal of human BAX.

基因/蛋白名称BAX

标记Unconjugated

别名Apoptosis regulator BAX; BAX;

数据库入口号Swiss-Prot: Q07814
NCBI Gene ID: 581

Uniprot Q07814

实际分子量22kd

浓度1.0mg/ml

配方Rabbit IgG in phosphate buffered saline (without Mg2+ and Ca2+), pH 7.4, 150mM NaCl, 0.02% sodium azide and 50% glycerol.

保存Store at -20˚C

应用详情
Western blotting: 1:500~1:3000
Immunohistochemistry: 1:50~1:100
Immunofluorescence: 1:100~1:500
Western blot analysis of extracts from various cells using Bax antibody.
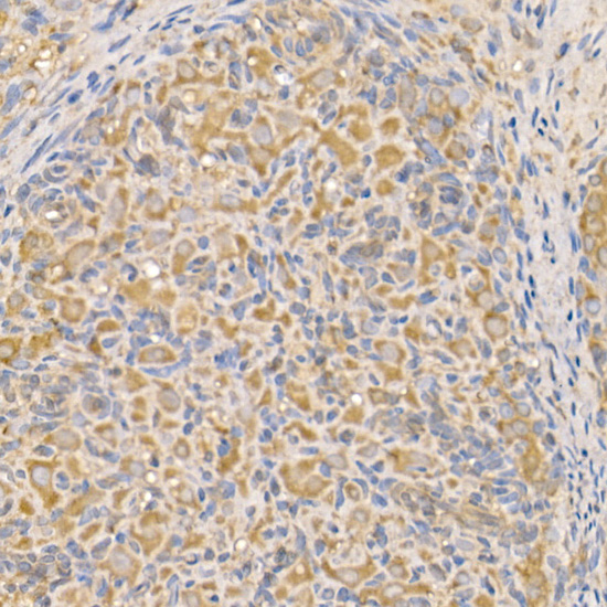
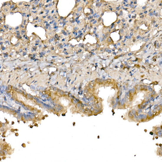
Immunohistochemistry of paraffin-embedded rat lung using BAX Polyclonal Antibody.
Immunohistochemistry of paraffin-embedded rat ovary using BAX Polyclonal Antibody.
Immunofluorescence analysis of U2OS cells using BAX Polyclonal Antibody.
Immunofluorescence analysis of NIH/3T3 cells using BAX Polyclonal Antibody.
Immunofluorescence analysis of PC-12 cells using BAX Polyclonal Antibody.
The protein encoded by this gene belongs to the BCL2 protein family. BCL2 family members form hetero- or homodimers and act as anti- or pro-apoptotic regulators that are involved in a wide variety of cellular activities. This protein forms a heterodimer with BCL2, and functions as an apoptotic activator. This protein is reported to interact with, and increase the opening of, the mitochondrial voltage-dependent anion channel (VDAC), which leads to the loss in membrane potential and the release of cytochrome c. The expression of this gene is regulated by the tumor suppressor P53 and has been shown to be involved in P53-mediated apoptosis. Multiple alternatively spliced transcript variants, which encode different isoforms, have been reported for this gene.

Oltvai Z.N., Cell 74:609-619(1993).
Apte S.S., Genomics 26:592-594(1995).
Shi B., Biochem. Biophys. Res. Commun. 254:779-785(1999).

如果您使用该产品34260发表了文章,请通知我们,让我们可以引用您的文献。

et al,Autophagy regulates the degeneration of the auditory cortex through the AMPK-mTOR-ULK1 signaling pathway.In Int J Mol Med. On 2018 Apr by Yuan J, Zhao X et al..PMID: 29344647 , (2018),
PMID: 29344647
et al,Mitochondria-targeted antioxidant therapy for an animal model of PCOS-IR. In Int J Mol Med on 2019 Jan by DIng Y, Jiang Z, et al..PMID:30431108 , (2019),
PMID: 30431108
et al,Mitochondria-targeted antioxidant therapy for an animal model of PCOS-IR. In Int J Mol Med on 2019 Jan by Yu DIng, Zhaochang Jiang, et al..PMID: 30431108 , (2019),
PMID: 30431108
et al,Mitochondria-targeted antioxidant therapy for an animal model of PCOS-IR. In Int J Mol Med on 2019 Jan by DIng Y, Jiang Z, et al..PMID:30431108 , (2019),
PMID: 30431108
et al,Apigenin attenuates acrylonitrile-induced neuro-inflammation in rats: Involved of inactivation of the TLR4/NF-κB signaling pathway. In Int Immunopharmacol on 2019 Oct by Zhao F1, Dang Y1, et al..PMID:31352326 , (2019),
PMID: 31352326
et al,Artemether Activation of AMPK/GSK3β(ser9)/Nrf2 SignalIng Confers Neuroprotection towards β-Amyloid-Induced Neurotoxicity In 3xTg Alzheimer's Mouse Model. In Oxid Med Cell Longev on 2019 Nov 21 by Li S, Zhao X, et al..PMID:31871541 , (2019),
PMID: 31871541
et al,Lentivirus-mediated Sirt1 shRNA and resveratrol independently induce porcine preadipocyte apoptosis by canonical apoptotic pathway. In Mol Biol Rep on 2013 Jan by Wei-Jun Pang, Yan Xiong, et al..PMID: 23065251 , (2013),
PMID: 23065251
查看更多
et al,Sulforaphane鈥恑nduced apoptosis in X uanwei lung adenocarcinoma cell line XWLC锟?5.In Thorac Cancer on 2017 Jan by Lan Zhou, Qian Yao,et al..PMID: 27878984 , (2017),
PMID: 27878984
et al,Resveratrol Protects Podocytes Against Apoptosis via Stimulation of Autophagy in a Mouse Model of Diabetic Nephropathy.In Sci Rep on 2017 Apr 4 by Shan-Shan Huang, Da-Fa Ding,et al..PMID: 28374806 , (2017),
PMID: 28374806
et al,Cryptotanshinone Inhibits Lung Tumorigenesis and Induces Apoptosis in Cancer Cells in Vitro and in Vivo.In Mol Med Rep on 2014 Jun by Liang Chen , Hui-Juan Wang et al..PMID:24682389 , (2014),
PMID: 24682389
et al,Protection of Quercetin against Triptolide-induced apoptosis by suppressing oxidative stress in rat Leydig cells.In Chem Biol Interact on 2015 Oct 5 by Jie Hu, Qinwei Yu et al..PMID: 26277538 , (2015),
PMID: 26277538
et al, Silencing HIWI suppresses the growth, invasion and migration of glioma cells.In Int J Oncol on 2014 Dec by Xiuyu Wang , Xiaoguang Tong et al..PMID:25269862 , (2014),
PMID: 25269862
et al,H2O2 treatment or serum deprivation induces autophagy and apoptosis in naked mole-rat skin fibroblasts by inhibiting the PI3K/Akt signaling pathway.In Oncotarget on 2016 Dec 20 by Shanmin Zhao, Li Li et al..PMID:27863375 , (2016),
PMID: 27863375
et al,D5 receptor agonist 027075 promotes cognitive function recovery and neurogenesis in a A尾1-42-induced mouse model.In Neuropharmacology on 2016 Jun by Ling Shen , Ming Yan et al..PMID: 26773200 , (2016),
PMID: 26773200
et al,Artemisinin Improved Neuronal Functions in Alzheimer's Disease Animal Model 3xtg Mice and Neuronal Cells via Stimulating the ERK/CREB Signaling Pathway. In Aging Dis on 2020 Jul 23 by Xia Zhao, Shuai Li,et al..PMID:32765947 , (2020),
PMID: 32765947
et al,Artemether confers neuroprotection on cerebral ischemic injury through stimulation of the Erk1/2-P90rsk-CREB signaling pathway. In Redox Biol on 2021 Oct by Shuai Li, Tangming Peng,et al..PMID:34303216 , (2021),
PMID: 34303216
et al,Artemisinin attenuated ischemic stroke induced cell apoptosis through activation of ERK1/2/CREB/BCL-2 signaling pathway in vitro and in vivo. In Int J Biol Sci on 2022 Jul 11 by Tangming Peng, Shuai Li ,et al..PMID:35864966 , (2022),
PMID: 35864966
et al,Effects of vitrification solution supplemented with platelet-rich plasma in rat ovarian tissue cryopreservation , (2023),
PMID: 38813015
et al,Repurposing Lamivudine: A novel therapeutic strategy for ischemic stroke targeting the glycolytic enzyme Pgk1 , (2025),
PMID: 41213407

注释

应用

  • WB免疫印迹
  • IHC免疫组化
  • IF免疫荧光
  • ICC免疫细胞化学
  • FC流式细胞
  • IP免疫沉淀
  • E酶联免疫吸附法
  • DB免疫斑点法
  • ChIP染色质免疫沉淀
  • GICA胶体金免疫层析法
  • NC阴性对照

种属反应性

  • Hu
  • Ms小鼠
  • Rt大鼠
  • Dm果蝇
  • C线虫
  • Mk
  • Rb
  • B
  • D
  • P
  • Hm仓鼠
  • ChHm中国仓鼠
  • Chk
;

联系我们

Location :

南京市高新开发区星火路10号人才大厦C座

Phone :

400-9961-933
025-58868422

Email Address

info@sabbiotech.com