免费电话:400-9961-933
邮箱:info@sabbiotech.com
欢迎光临本站
川博智能体 English
位置: 首页 > 多克隆抗体 > CAP2 Antibody

CAP2 Antibody#35661

是否有货: 有货
产品详情

产品名称CAP2 Antibody

来源种属Rabbit

克隆性Polyclonal

纯化Antigen affinity purification.

应用WB IHC

种属反应性Human

特异性The antibody detects endogenous levels of total CAP2 protein.

免疫原类型Recombinant Protein

免疫原描述Fusion protein corresponding to residues near the C terminal of human CAP, adenylate cyclase-associated protein, 2 (yeast)

基因/蛋白名称CAP2

标记Unconjugated

别名Adenylyl cyclase-associated protein 2; CAP 2

数据库入口号Swiss-Prot#: P40123
NCBI Gene ID: 10486
Gene Accssion: BC008481

Uniprot P40123

实际分子量53kd

浓度1.2mg/ml

配方Rabbit IgG in pH7.3 PBS, 0.05% NaN3, 50% Glycerol.

保存Store at -20˚C

应用详情
Western blotting: 1:200-1:1000
Immunohistochemistry: 1:50-1:200
Gel: 8%SDS-PAGE
Lysates (from left to right): Human fetal muscle tissue
Amount of lysate: 40ug per lane
Primary antibody: 1/600 dilution
Secondary antibody dilution: 1/8000
Exposure time: 1 minute
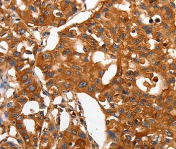
Immunohistochemical analysis of paraffin-embedded Human lung cancer tissue using #35661 at dilution 1/50.
This gene was identified by its similarity to the gene for human adenylyl cyclase-associated protein. The function of the protein encoded by this gene is unknown. However, the protein appears to be able to interact with adenylyl cyclase-associated protein and actin.

如果您使用该产品35661发表了文章,请通知我们,让我们可以引用您的文献。

et al,Dendrobium officinale polysaccharide inhibits M1 macrophage polarization via activating SENP1-SIRT3 signaling and alleviates ulcerative colitis , (2025),
PMID: 41185333

注释

应用

  • WB免疫印迹
  • IHC免疫组化
  • IF免疫荧光
  • ICC免疫细胞化学
  • FC流式细胞
  • IP免疫沉淀
  • E酶联免疫吸附法
  • DB免疫斑点法
  • ChIP染色质免疫沉淀
  • GICA胶体金免疫层析法
  • NC阴性对照

种属反应性

  • Hu
  • Ms小鼠
  • Rt大鼠
  • Dm果蝇
  • C线虫
  • Mk
  • Rb
  • B
  • D
  • P
  • Hm仓鼠
  • ChHm中国仓鼠
  • Chk
;

联系我们

Location :

南京市高新开发区星火路10号人才大厦C座

Phone :

400-9961-933
025-58868422

Email Address

info@sabbiotech.com