免费电话:400-9961-933
邮箱:info@sabbiotech.com
欢迎光临本站
川博智能体 English
位置: 首页 > 多克隆抗体 > CLEC7A Antibody

CLEC7A Antibody#35673

是否有货: 有货
产品详情

产品名称CLEC7A Antibody

来源种属Rabbit

克隆性Polyclonal

纯化Antigen affinity purification.

应用WB IHC

种属反应性Human;Mouse

特异性The antibody detects endogenous levels of total CLEC7A protein.

免疫原类型Recombinant Protein

免疫原描述Full length fusion protein

基因/蛋白名称CLEC7A

标记Unconjugated

别名BGR; CANDF4; DECTIN1; CLECSF12

数据库入口号Swiss-Prot#: Q9BXN2
NCBI Gene ID: 64581
Gene Accssion: BC013385

Uniprot Q9BXN2

实际分子量28kd

浓度0.2mg/ml

配方Rabbit IgG in pH7.3 PBS, 0.05% NaN3, 50% Glycerol.

保存Store at -20˚C

应用详情
Western blotting: 1:500-1:2000
Immunohistochemistry: 1:10-1:50
Gel: 12%SDS-PAGE
Lysates (from left to right): SP20 and RAW264.7 cell
Amount of lysate: 40ug per lane
Primary antibody: 1/200 dilution
Secondary antibody dilution: 1/8000
Exposure time: 30 seconds
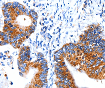
Immunohistochemical analysis of paraffin-embedded Human colon cancer tissue using #35673 at dilution 1/5.
This gene encodes a member of the C-type lectin/C-type lectin-like domain (CTL/CTLD) superfamily. The encoded glycoprotein is a small type II membrane receptor with an extracellular C-type lectin-like domain fold and a cytoplasmic domain with an immunoreceptor tyrosine-based activation motif. It functions as a pattern-recognition receptor that recognizes a variety of beta-1,3-linked and beta-1,6-linked glucans from fungi and plants, and in this way plays a role in innate immune response. Alternate transcriptional splice variants, encoding different isoforms, have been characterized. This gene is closely linked to other CTL/CTLD superfamily members on chromosome 12p13 in the natural killer gene complex region.

如果您使用该产品35673发表了文章,请通知我们,让我们可以引用您的文献。

et al,Spi1 aggravates neuropathic pain by modulating Clec7a-mediated neuroinflammation and microglial phagocytosis , (2025),
PMID: 40640733

注释

应用

  • WB免疫印迹
  • IHC免疫组化
  • IF免疫荧光
  • ICC免疫细胞化学
  • FC流式细胞
  • IP免疫沉淀
  • E酶联免疫吸附法
  • DB免疫斑点法
  • ChIP染色质免疫沉淀
  • GICA胶体金免疫层析法
  • NC阴性对照

种属反应性

  • Hu
  • Ms小鼠
  • Rt大鼠
  • Dm果蝇
  • C线虫
  • Mk
  • Rb
  • B
  • D
  • P
  • Hm仓鼠
  • ChHm中国仓鼠
  • Chk
;

联系我们

Location :

南京市高新开发区星火路10号人才大厦C座

Phone :

400-9961-933
025-58868422

Email Address

info@sabbiotech.com