免费电话:400-9961-933
邮箱:info@sabbiotech.com
欢迎光临本站
川博智能体 English
位置: 首页 > 多克隆抗体 > PTP4A2 Antibody

PTP4A2 Antibody#35892

是否有货: 有货
产品详情

产品名称PTP4A2 Antibody

来源种属Rabbit

克隆性Polyclonal

纯化Antigen affinity purification.

应用WB IHC

种属反应性Human;Mouse;Rat

特异性The antibody detects endogenous levels of total PTP4A2 protein.

免疫原类型Recombinant Protein

免疫原描述Fusion protein corresponding to residues near the N terminal of human protein tyrosine phosphatase type IVA, member 2

基因/蛋白名称PTP4A2

标记Unconjugated

别名HH13; OV-1; PRL2; HH7-2; PRL-2; PTP4A; HU-PP-1; PTPCAAX2; ptp-IV1a; ptp-IV1b

数据库入口号Swiss-Prot#: Q12974
NCBI Gene ID: 8073
Gene Accssion: BC070182

Uniprot Q12974

实际分子量19kd

浓度0.8mg/ml

配方Rabbit IgG in pH7.3 PBS, 0.05% NaN3, 50% Glycerol.

保存Store at -20˚C

应用详情
Western blotting: 1:200-1:1000
Immunohistochemistry: 1:25-1:100
Gel: 10%SDS-PAGE
Lysates (from left to right): Hela, Jurkat and SKOV3 cell
Amount of lysate: 50ug per lane
Primary antibody: 1/300 dilution
Secondary antibody dilution: 1/8000
Exposure time: 30 seconds
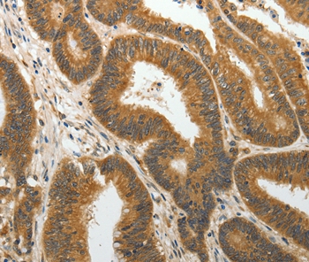
Immunohistochemical analysis of paraffin-embedded Human colon cancer tissue using #35892 at dilution 1/25.
The protein encoded by this gene belongs to a small class of the protein tyrosine phosphatase (PTP) family. PTPs are cell signaling molecules that play regulatory roles in a variety of cellular processes. PTPs in this class contain a protein tyrosine phosphatase catalytic domain and a characteristic C-terminal prenylation motif. This PTP has been shown to primarily associate with plasmic and endosomal membrane through its C-terminal prenylation. This PTP was found to interact with the beta-subunit of Rab geranylgeranyltransferase II (beta GGT II), and thus may function as a regulator of GGT II activity. Overexpression of this gene in mammalian cells conferred a transformed phenotype, which suggested its role in tumorigenesis. Alternatively spliced transcript variants have been described. Related pseudogenes exist on chromosomes 11, 12 and 17.

如果您使用该产品35892发表了文章,请通知我们,让我们可以引用您的文献。

et al,Collagen Hydrogel Loaded With 9-cisRA-Lip Is an Option for Treatment of Secondary Lymphedema after Surgery , (2025),
PMID: 39611659

注释

应用

  • WB免疫印迹
  • IHC免疫组化
  • IF免疫荧光
  • ICC免疫细胞化学
  • FC流式细胞
  • IP免疫沉淀
  • E酶联免疫吸附法
  • DB免疫斑点法
  • ChIP染色质免疫沉淀
  • GICA胶体金免疫层析法
  • NC阴性对照

种属反应性

  • Hu
  • Ms小鼠
  • Rt大鼠
  • Dm果蝇
  • C线虫
  • Mk
  • Rb
  • B
  • D
  • P
  • Hm仓鼠
  • ChHm中国仓鼠
  • Chk
;

联系我们

Location :

南京市高新开发区星火路10号人才大厦C座

Phone :

400-9961-933
025-58868422

Email Address

info@sabbiotech.com