免费电话:400-9961-933
邮箱:info@sabbiotech.com
欢迎光临本站
川博智能体 English
位置: 首页 > 多克隆抗体 > ACSL4 Antibody

ACSL4 Antibody#36176

是否有货: 有货
产品详情

产品名称ACSL4 Antibody

来源种属Rabbit

克隆性Polyclonal

纯化Antigen affinity purification.

应用WB IHC

种属反应性Human;Mouse;Rat

特异性The antibody detects endogenous levels of total ACSL4 protein.

免疫原类型Recombinant Protein

免疫原描述Fusion protein corresponding to residues near the C terminal of human acyl-CoA synthetase long-chain family member 4

基因/蛋白名称ACSL4

标记Unconjugated

别名ACS4; FACL4; LACS4; MRX63; MRX68

数据库入口号Swiss-Prot#: O60488
NCBI Gene ID: 2182
Gene Accssion: BC034959

Uniprot O60488

实际分子量79kd

浓度0.9mg/ml

配方Rabbit IgG in pH7.3 PBS, 0.05% NaN3, 50% Glycerol.

保存Store at -20˚C

应用详情

Western blotting: 1:500-1:2000
Immunohistochemistry: 1:25-1:100

Gel: 8%SDS-PAGE
Lysates (from left to right): Hepg2, hela and 293T cell, human fetal kidney tissue
Amount of lysate: 40ug per lane
Primary antibody: 1/225 dilution
Secondary antibody dilution: 1/8000
Exposure time: 15 seconds
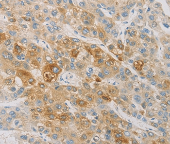
Immunohistochemical analysis of paraffin-embedded Human liver cancer tissue using #36176 at dilution 1/25.

The protein encoded by this gene is an isozyme of the long-chain fatty-acid-coenzyme A ligase family. Although differing in substrate specificity, subcellular localization, and tissue distribution, all isozymes of this family convert free long-chain fatty acids into fatty acyl-CoA esters, and thereby play a key role in lipid biosynthesis and fatty acid degradation. This isozyme preferentially utilizes arachidonate as substrate. The absence of this enzyme may contribute to the mental retardation or Alport syndrome. Alternative splicing of this gene generates 2 transcript variants.

如果您使用该产品36176发表了文章,请通知我们,让我们可以引用您的文献。

et al,PDE4B promotes ferroptosis in nucleus pulposus cells and is involved in intervertebral disc degeneration. , (2025),
PMID: 39893206

注释

应用

  • WB免疫印迹
  • IHC免疫组化
  • IF免疫荧光
  • ICC免疫细胞化学
  • FC流式细胞
  • IP免疫沉淀
  • E酶联免疫吸附法
  • DB免疫斑点法
  • ChIP染色质免疫沉淀
  • GICA胶体金免疫层析法
  • NC阴性对照

种属反应性

  • Hu
  • Ms小鼠
  • Rt大鼠
  • Dm果蝇
  • C线虫
  • Mk
  • Rb
  • B
  • D
  • P
  • Hm仓鼠
  • ChHm中国仓鼠
  • Chk
;

联系我们

Location :

南京市高新开发区星火路10号人才大厦C座

Phone :

400-9961-933
025-58868422

Email Address

info@sabbiotech.com