免费电话:400-9961-933
邮箱:info@sabbiotech.com
欢迎光临本站
川博智能体 English
位置: 首页 > 多克隆抗体 > NCAPD3 Antibody

NCAPD3 Antibody#36306

是否有货: 有货
产品详情

产品名称NCAPD3 Antibody

来源种属Rabbit

克隆性Polyclonal

纯化Antigen affinity purification.

应用IHC

种属反应性Human

特异性The antibody detects endogenous levels of total NCAPD3 protein.

免疫原类型Recombinant Protein

免疫原描述Fusion protein corresponding to residues near the C terminal of human non-SMC condensin II complex, subunit D3

基因/蛋白名称NCAPD3

标记Unconjugated

别名CAPD3; hcp-6; CAP-D3; hHCP-6; hCAP-D3

数据库入口号Swiss-Prot#: P42695
NCBI Gene ID: 23310
Gene Accssion: BC011408

Uniprot P42695

浓度1.8mg/ml

配方Rabbit IgG in pH7.3 PBS, 0.05% NaN3, 50% Glycerol.

保存Store at -20˚C

应用详情
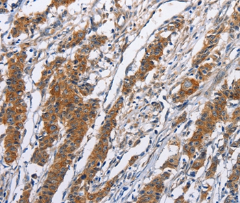
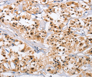
Immunohistochemistry: 1:50-1:200
Immunohistochemical analysis of paraffin-embedded Human gastric cancer tissue using #36306 at dilution 1/50.
Immunohistochemical analysis of paraffin-embedded Human thyroid cancer tissue using #36306 at dilution 1/50.
Condensin complexes I and II play essential roles in mitotic chromosome assembly and segregation. Both condensins contain 2 invariant structural maintenance of chromosome (SMC) subunits, SMC2 and SMC4, but they contain different sets of non-SMC subunits. NCAPD3 is 1 of 3 non-SMC subunits that define condensin II.

如果您使用该产品36306发表了文章,请通知我们,让我们可以引用您的文献。

et al,Laminin β1 stimulates the Hippo-YAP1 pathway to advance the progression and lenvatinib resistance in hepatocellular carcinoma , (2025),
PMID: 41274476

注释

应用

  • WB免疫印迹
  • IHC免疫组化
  • IF免疫荧光
  • ICC免疫细胞化学
  • FC流式细胞
  • IP免疫沉淀
  • E酶联免疫吸附法
  • DB免疫斑点法
  • ChIP染色质免疫沉淀
  • GICA胶体金免疫层析法
  • NC阴性对照

种属反应性

  • Hu
  • Ms小鼠
  • Rt大鼠
  • Dm果蝇
  • C线虫
  • Mk
  • Rb
  • B
  • D
  • P
  • Hm仓鼠
  • ChHm中国仓鼠
  • Chk
;

联系我们

Location :

南京市高新开发区星火路10号人才大厦C座

Phone :

400-9961-933
025-58868422

Email Address

info@sabbiotech.com