免费电话:400-9961-933
邮箱:info@sabbiotech.com
欢迎光临本站
川博智能体 English
位置: 首页 > 多克隆抗体 > ABI1 Antibody

ABI1 Antibody#36723

是否有货: 有货
产品详情

产品名称ABI1 Antibody

来源种属Rabbit

克隆性Polyclonal

纯化Antigen affinity purification.

应用WB IHC

种属反应性Human;Mouse;Rat

特异性The antibody detects endogenous levels of total ABI1 protein.

免疫原类型Peptide

免疫原描述Synthetic peptide corresponding to residues near the C terminal of human abl-interactor 1

基因/蛋白名称ABI1

标记Unconjugated

别名E3B1; ABI-1; ABLBP4; NAP1BP; SSH3BP; SSH3BP1

数据库入口号Swiss-Prot#: Q8IZP0
NCBI Gene ID: 10006
Gene Accssion: NP_005461

Uniprot Q8IZP0

实际分子量55kd

浓度2.3mg/ml

配方Rabbit IgG in pH7.3 PBS, 0.05% NaN3, 50% Glycerol.

保存Store at -20˚C

应用详情
Western blotting: 1:500-1:2000
Immunohistochemistry: 1:50-1:200
Gel: 8%SDS-PAGE
Lysates (from left to right): Human fetal brain tissue
Amount of lysate: 40ug per lane
Primary antibody: 1/300 dilution
Secondary antibody dilution: 1/8000
Exposure time: 20 seconds
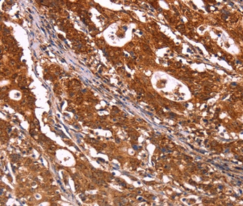
Immunohistochemical analysis of paraffin-embedded Human gastric cancer tissue using #36723 at dilution 1/40.
This gene encodes a member of the Abelson-interactor family of adaptor proteins. These proteins facilitate signal transduction as components of several multiprotein complexes, and regulate actin polymerization and cytoskeletal remodeling through interactions with Abelson tyrosine kinases. The encoded protein plays a role in macropinocytosis as a component of the WAVE2 complex, and also forms a complex with EPS8 and SOS1 that mediates signal transduction from Ras to Rac. This gene may play a role in the progression of several malignancies including melanoma, colon cancer and breast cancer, and a t(10;11) chromosomal translocation involving this gene and the MLL gene has been associated with acute myeloid leukemia. Alternatively spliced transcript variants encoding multiple isoforms have been observed for this gene, and a pseudogene of this gene is located on the long arm of chromosome 14

如果您使用该产品36723发表了文章,请通知我们,让我们可以引用您的文献。

et al,Proteomic characteristics reveal the signatures and the risks of T1 colorectal cancer metastasis to lymph nodes , (2023),
PMID: 37158593

注释

应用

  • WB免疫印迹
  • IHC免疫组化
  • IF免疫荧光
  • ICC免疫细胞化学
  • FC流式细胞
  • IP免疫沉淀
  • E酶联免疫吸附法
  • DB免疫斑点法
  • ChIP染色质免疫沉淀
  • GICA胶体金免疫层析法
  • NC阴性对照

种属反应性

  • Hu
  • Ms小鼠
  • Rt大鼠
  • Dm果蝇
  • C线虫
  • Mk
  • Rb
  • B
  • D
  • P
  • Hm仓鼠
  • ChHm中国仓鼠
  • Chk
;

联系我们

Location :

南京市高新开发区星火路10号人才大厦C座

Phone :

400-9961-933
025-58868422

Email Address

info@sabbiotech.com