免费电话:400-9961-933
邮箱:info@sabbiotech.com
欢迎光临本站
川博智能体 English
位置: 首页 > 多克隆抗体 > AP1G1 Antibody

AP1G1 Antibody#36741

是否有货: 有货
产品详情

产品名称AP1G1 Antibody

来源种属Rabbit

克隆性Polyclonal

纯化Antigen affinity purification.

应用IHC

种属反应性Human;Mouse

特异性The antibody detects endogenous levels of total AP1G1 protein.

免疫原类型Peptide

免疫原描述Synthetic peptide corresponding to residues near the C terminal of human Adapter-related protein complex 1 subunit gamma-1

基因/蛋白名称AP1G1

标记Unconjugated

别名ADTG; CLAPG1

数据库入口号Swiss-Prot#: O43747
NCBI Gene ID: 164
Gene Accssion: NP_001025178

Uniprot O43747

浓度0.3mg/ml

配方Rabbit IgG in pH7.3 PBS, 0.05% NaN3, 50% Glycerol.

保存Store at -20˚C

应用详情
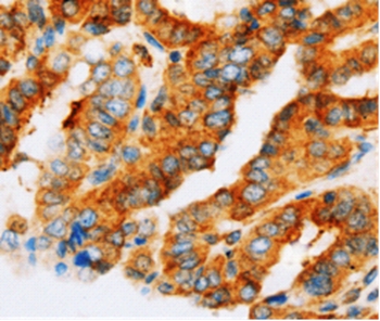
Immunohistochemistry: 1:50-1:200
Immunohistochemical analysis of paraffin-embedded Human thyroid cancer tissue using #36741 at dilution 1/55.
Adaptins are important components of clathrin-coated vesicles transporting ligand-receptor complexes from the plasma membrane or from the trans-Golgi network to lysosomes. The adaptin family of proteins is composed of four classes of molecules named alpha, beta-, beta prime- and gamma- adaptins. Adaptins, together with medium and small subunits, form a heterotetrameric complex called an adaptor, whose role is to promote the formation of clathrin-coated pits and vesicles. The protein encoded by this gene is a gamma-adaptin protein and it belongs to the adaptor complexes large subunits family. Two transcript variants encoding different isoforms have been found for this gene.

如果您使用该产品36741发表了文章,请通知我们,让我们可以引用您的文献。

et al,Identification of Endoplasmic Reticulum Stress-Related Genes in Acute Myocardial Infarction: A Bioinformatics Approach with Experimental Validation , (2025),
PMID: 40319218

注释

应用

  • WB免疫印迹
  • IHC免疫组化
  • IF免疫荧光
  • ICC免疫细胞化学
  • FC流式细胞
  • IP免疫沉淀
  • E酶联免疫吸附法
  • DB免疫斑点法
  • ChIP染色质免疫沉淀
  • GICA胶体金免疫层析法
  • NC阴性对照

种属反应性

  • Hu
  • Ms小鼠
  • Rt大鼠
  • Dm果蝇
  • C线虫
  • Mk
  • Rb
  • B
  • D
  • P
  • Hm仓鼠
  • ChHm中国仓鼠
  • Chk
;

联系我们

Location :

南京市高新开发区星火路10号人才大厦C座

Phone :

400-9961-933
025-58868422

Email Address

info@sabbiotech.com