免费电话:400-9961-933
邮箱:info@sabbiotech.com
欢迎光临本站
川博智能体 English
位置: 首页 > 多克隆抗体 > FGF1 Antibody

FGF1 Antibody#36770

是否有货: 有货
产品详情

产品名称FGF1 Antibody

来源种属Rabbit

克隆性Polyclonal

纯化Antigen affinity purification.

应用IHC

种属反应性Human;Mouse;Rat

特异性The antibody detects endogenous levels of total FGF1 protein.

免疫原类型Peptide

免疫原描述Synthetic peptide corresponding to a region derived from internal residues of human Fibroblast growth factor 1

基因/蛋白名称FGF1

标记Unconjugated

别名AFGF; ECGF; ECGF-beta; ECGFA;ECGFB; FGF-alpha; FGFA; GLIO703;HBGF1

数据库入口号Swiss-Prot#: P05230
NCBI Gene ID: 2246
Gene Accssion: NP_001138364

Uniprot P05230

浓度1.2mg/ml

配方Rabbit IgG in pH7.3 PBS, 0.05% NaN3, 50% Glycerol.

保存Store at -20˚C

应用详情
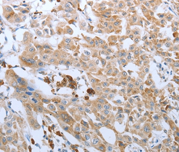
Immunohistochemistry: 1:50-1:200
Immunohistochemical analysis of paraffin-embedded Human brain tissue using #36770 at dilution 1/50.
Immunohistochemical analysis of paraffin-embedded Human liver cancer tissue using #36770 at dilution 1/50.
FGF family members possess broad mitogenic and cell survival activities, and are involved in a variety of biological processes, including embryonic development, cell growth, morphogenesis, tissue repair, tumor growth and invasion.FGF1 Plays an important role in the regulation of cell survival, cell division, angiogenesis, cell differentiation and cell migration. Functions as potent mitogen in vitro.

如果您使用该产品36770发表了文章,请通知我们,让我们可以引用您的文献。

et al,Maldevelopment of the submandibular gland in a mouse model of apert syndrome.In Dev Dyn. On 2018 Nov by Yamaji K, Morita J et al..PMID:30251381 , (2018),
PMID: 30251381
et al,Ser252Trp mutation in fibroblast growth factor receptor 2 promotes branching morphogenesis in mouse salivary glands. In J Oral Biosci on 2024 Mar by Daiki Iwata, Kaori Kometani-Gunjigake,et al..PMID:38246420 , (2024),
PMID: 38246420

注释

应用

  • WB免疫印迹
  • IHC免疫组化
  • IF免疫荧光
  • ICC免疫细胞化学
  • FC流式细胞
  • IP免疫沉淀
  • E酶联免疫吸附法
  • DB免疫斑点法
  • ChIP染色质免疫沉淀
  • GICA胶体金免疫层析法
  • NC阴性对照

种属反应性

  • Hu
  • Ms小鼠
  • Rt大鼠
  • Dm果蝇
  • C线虫
  • Mk
  • Rb
  • B
  • D
  • P
  • Hm仓鼠
  • ChHm中国仓鼠
  • Chk
;

联系我们

Location :

南京市高新开发区星火路10号人才大厦C座

Phone :

400-9961-933
025-58868422

Email Address

info@sabbiotech.com