免费电话:400-9961-933
邮箱:info@sabbiotech.com
欢迎光临本站
川博智能体 English
位置: 首页 > 多克隆抗体 > AQP8 Antibody

AQP8 Antibody#36812

是否有货: 有货
产品详情

产品名称AQP8 Antibody

来源种属Rabbit

克隆性Polyclonal

纯化Antigen affinity purification.

应用IHC

种属反应性Human

特异性The antibody detects endogenous levels of total AQP8 protein.

免疫原类型Peptide

免疫原描述Synthetic peptide corresponding to residues near the N terminal of human aquaporin 8

基因/蛋白名称AQP8

标记Unconjugated

别名AQP-8

数据库入口号Swiss-Prot#: O94778
NCBI Gene ID: 343
Gene Accssion: NP_001160

Uniprot O94778

浓度3.7mg/ml

配方Rabbit IgG in pH7.3 PBS, 0.05% NaN3, 50% Glycerol.

保存Store at -20˚C

应用详情
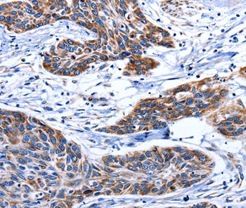
Immunohistochemistry: 1:50-1:200
Immunohistochemical analysis of paraffin-embedded Human esophagus cancer tissue using #36812 at dilution 1/75.
Aquaporin-8 is a protein that in humans is encoded by the AQP8 gene. Aquaporin 8 (AQP8) is a water channel protein. Aquaporins are a family of small integral membrane proteins related to the major intrinsic protein (MIP or AQP0). Aquaporin 8 mRNA is found in pancreas and colon but not other tissues. Forms a water-specific channel; mercury-sensitive. Not permeable to glycerol or urea. Expressed only in pancreas and colon.

如果您使用该产品36812发表了文章,请通知我们,让我们可以引用您的文献。

et al,Stool-softening effect and action mechanism of free anthraquinones extracted from Rheum palmatum L. on water deficit-induced constipation in rats. In J Ethnopharmacol on 2024 Jan 30 by Huijuan Lv, Jingjing Niu,et al..PMID:37907143 , (2024),
PMID: 37907143
et al,Stool-softening effect and action mechanism of free anthraquinones extracted from Rheum palmatum L. on water deficit-induced constipation in rats , (2023),
PMID:

注释

应用

  • WB免疫印迹
  • IHC免疫组化
  • IF免疫荧光
  • ICC免疫细胞化学
  • FC流式细胞
  • IP免疫沉淀
  • E酶联免疫吸附法
  • DB免疫斑点法
  • ChIP染色质免疫沉淀
  • GICA胶体金免疫层析法
  • NC阴性对照

种属反应性

  • Hu
  • Ms小鼠
  • Rt大鼠
  • Dm果蝇
  • C线虫
  • Mk
  • Rb
  • B
  • D
  • P
  • Hm仓鼠
  • ChHm中国仓鼠
  • Chk
;

联系我们

Location :

南京市高新开发区星火路10号人才大厦C座

Phone :

400-9961-933
025-58868422

Email Address

info@sabbiotech.com