免费电话:400-9961-933
邮箱:info@sabbiotech.com
欢迎光临本站
川博智能体 English
位置: 首页 > 多克隆抗体 > CMTM7 Antibody

CMTM7 Antibody#36884

是否有货: 有货
产品详情

产品名称CMTM7 Antibody

来源种属Rabbit

克隆性Polyclonal

纯化Antigen affinity purification.

应用IHC

种属反应性Human

特异性The antibody detects endogenous levels of total CMTM7 protein.

免疫原类型Peptide

免疫原描述Synthetic peptide corresponding to a region derived from internal residues of human CKLF-like MARVEL transmembrane domain containing 7

基因/蛋白名称CMTM7

标记Unconjugated

别名CKLFSF7

数据库入口号Swiss-Prot#: Q96FZ5
NCBI Gene ID: 112616
Gene Accssion: NP_612419

Uniprot Q96FZ5

浓度1.8mg/ml

配方Rabbit IgG in pH7.3 PBS, 0.05% NaN3, 50% Glycerol.

保存Store at -20˚C

应用详情
Immunohistochemistry: 1:25-1:100
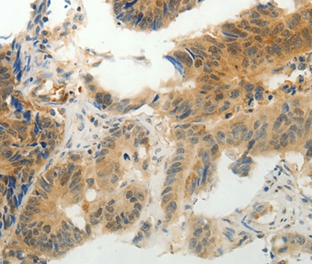
Immunohistochemical analysis of paraffin-embedded Human colon cancer tissue using #36884 at dilution 1/30.
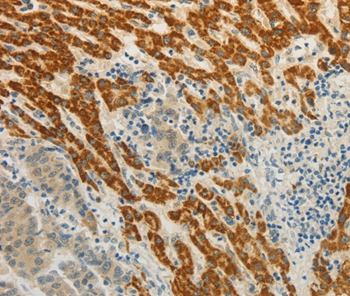
Immunohistochemical analysis of paraffin-embedded Human liver cancer tissue using #36884 at dilution 1/30.
This gene belongs to the chemokine-like factor gene superfamily, a novel family that is similar to the chemokine and transmembrane 4 superfamilies. This gene is one of several chemokine-like factor genes located in a cluster on chromosome 3. The protein encoded by this gene is highly expressed in leukocytes, but its exact function is unknown. Alternatively spliced transcript variants encoding different isoforms have been identified.

如果您使用该产品36884发表了文章,请通知我们,让我们可以引用您的文献。

et al,CMTM7 shapes the chronic inflammatory and immunosuppressive tumor microenvironment in hepatocellular carcinoma as an M2 macrophage biomarker , (2024),
PMID:

注释

应用

  • WB免疫印迹
  • IHC免疫组化
  • IF免疫荧光
  • ICC免疫细胞化学
  • FC流式细胞
  • IP免疫沉淀
  • E酶联免疫吸附法
  • DB免疫斑点法
  • ChIP染色质免疫沉淀
  • GICA胶体金免疫层析法
  • NC阴性对照

种属反应性

  • Hu
  • Ms小鼠
  • Rt大鼠
  • Dm果蝇
  • C线虫
  • Mk
  • Rb
  • B
  • D
  • P
  • Hm仓鼠
  • ChHm中国仓鼠
  • Chk
;

联系我们

Location :

南京市高新开发区星火路10号人才大厦C座

Phone :

400-9961-933
025-58868422

Email Address

info@sabbiotech.com