免费电话:400-9961-933
邮箱:info@sabbiotech.com
欢迎光临本站
川博智能体 English
位置: 首页 > 多克隆抗体 > CBX3 Antibody

CBX3 Antibody#36926

是否有货: 有货
产品详情

产品名称CBX3 Antibody

来源种属Rabbit

克隆性Polyclonal

纯化Antigen affinity purification.

应用WB IHC

种属反应性Human;Mouse

特异性The antibody detects endogenous levels of total CBX3 protein.

免疫原类型Peptide

免疫原描述Synthetic peptide corresponding to residues near the N terminal of human chromobox homolog 3

基因/蛋白名称CBX3

标记Unconjugated

别名HECH; HP1-GAMMA; HP1Hs-gamma

数据库入口号Swiss-Prot#: Q13185
NCBI Gene ID: 11335
Gene Accssion: NP_009207

Uniprot Q13185

实际分子量21kd

浓度2.4mg/ml

配方Rabbit IgG in pH7.3 PBS, 0.05% NaN3, 50% Glycerol.

保存Store at -20˚C

应用详情
Western blotting: 1:500-1:2000
Immunohistochemistry: 1:50-1:200
Gel: 10%SDS-PAGE
Lysates (from left to right): A375 and Raji cell, human fetal brain tissue
Amount of lysate: 40ug per lane
Primary antibody: 1/600 dilution
Secondary antibody dilution: 1/8000
Exposure time: 1 second
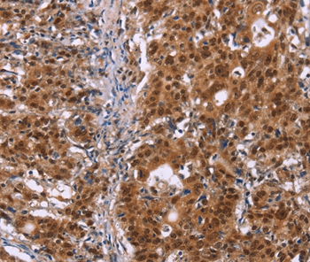
Immunohistochemical analysis of paraffin-embedded Human gastric cancer tissue using #36926 at dilution 1/40.
At the nuclear envelope, the nuclear lamina and heterochromatin are adjacent to the inner nuclear membrane. The protein encoded by this gene binds DNA and is a component of heterochromatin. This protein also can bind lamin B receptor, an integral membrane protein found in the inner nuclear membrane. The dual binding functions of the encoded protein may explain the association of heterochromatin with the inner nuclear membrane. This protein binds histone H3 tails methylated at Lys-9 sites. This protein is also recruited to sites of ultraviolet-induced DNA damage and double-strand breaks.?

如果您使用该产品36926发表了文章,请通知我们,让我们可以引用您的文献。

et al,E3 ubiquitin ligase Smurf1 promotes cardiomyocyte pyroptosis by mediating ubiquitin-dependent degradation of TRIB2 in a rat model of heart failure , (2025),
PMID: 39749701

注释

应用

  • WB免疫印迹
  • IHC免疫组化
  • IF免疫荧光
  • ICC免疫细胞化学
  • FC流式细胞
  • IP免疫沉淀
  • E酶联免疫吸附法
  • DB免疫斑点法
  • ChIP染色质免疫沉淀
  • GICA胶体金免疫层析法
  • NC阴性对照

种属反应性

  • Hu
  • Ms小鼠
  • Rt大鼠
  • Dm果蝇
  • C线虫
  • Mk
  • Rb
  • B
  • D
  • P
  • Hm仓鼠
  • ChHm中国仓鼠
  • Chk
;

联系我们

Location :

南京市高新开发区星火路10号人才大厦C座

Phone :

400-9961-933
025-58868422

Email Address

info@sabbiotech.com