免费电话:400-9961-933
邮箱:info@sabbiotech.com
欢迎光临本站
川博智能体 English
位置: 首页 > 多克隆抗体 > ABCG1 Antibody

ABCG1 Antibody#37074

是否有货: 有货
产品详情

产品名称ABCG1 Antibody

来源种属Rabbit

克隆性Polyclonal

纯化Antigen affinity purification.

应用WB IHC

种属反应性Human

特异性The antibody detects endogenous levels of total ABCG1 protein.

免疫原类型Peptide

免疫原描述Synthetic peptide corresponding to a region derived from internal residues of human ATP-binding cassette, sub-family G (WHITE), member 1

基因/蛋白名称ABCG1

标记Unconjugated

别名ABC8; WHITE1

数据库入口号Swiss-Prot#: P45844
NCBI Gene ID: 9619
Gene Accssion: NP_004906

Uniprot P45844

实际分子量76kd

浓度1.2mg/ml

配方Rabbit IgG in pH7.3 PBS, 0.05% NaN3, 50% Glycerol.

保存Store at -20˚C

应用详情
Western blotting: 1:500-1:2000
Immunohistochemistry: 1:25-1:100
Gel: 10%SDS-PAGE
Lysate: 40ug HT-29 cell
Primary antibody: 1/500 dilution
Secondary antibody dilution: 1/8000
Exposure time: 2 minutes
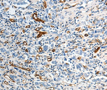
Immunohistochemical analysis of paraffin-embedded Human gastric cancer tissue using #37074 at dilution 1/40.
The protein encoded by this gene is a member of the superfamily of ATP-binding cassette (ABC) transporters. ABC proteins transport various molecules across extra- and intra-cellular membranes. ABC genes are divided into seven distinct subfamilies (ABC1, MDR/TAP, MRP, ALD, OABP, GCN20, White). This protein is a member of the White subfamily. It is involved in macrophage cholesterol and phospholipids transport, and may regulate cellular lipid homeostasis in other cell types. Six alternative splice variants have been identified.

如果您使用该产品37074发表了文章,请通知我们,让我们可以引用您的文献。

et al,Niacin-induced lysosomal free cholesterol efflux via LXRα-mediated signaling pathways in macrophages retards the progression of atherosclerosis , (2025),
PMID:

注释

应用

  • WB免疫印迹
  • IHC免疫组化
  • IF免疫荧光
  • ICC免疫细胞化学
  • FC流式细胞
  • IP免疫沉淀
  • E酶联免疫吸附法
  • DB免疫斑点法
  • ChIP染色质免疫沉淀
  • GICA胶体金免疫层析法
  • NC阴性对照

种属反应性

  • Hu
  • Ms小鼠
  • Rt大鼠
  • Dm果蝇
  • C线虫
  • Mk
  • Rb
  • B
  • D
  • P
  • Hm仓鼠
  • ChHm中国仓鼠
  • Chk
;

联系我们

Location :

南京市高新开发区星火路10号人才大厦C座

Phone :

400-9961-933
025-58868422

Email Address

info@sabbiotech.com