免费电话:400-9961-933
邮箱:info@sabbiotech.com
欢迎光临本站
川博智能体 English
位置: 首页 > 多克隆抗体 > ANKRA2 Antibody

ANKRA2 Antibody#37102

是否有货: 有货
产品详情

产品名称ANKRA2 Antibody

来源种属Rabbit

克隆性Polyclonal

纯化Antigen affinity purification.

应用IHC

种属反应性Human

特异性The antibody detects endogenous levels of total ANKRA2 protein.

免疫原类型Peptide

免疫原描述Synthetic peptide corresponding to residues near the C terminal of human ankyrin repeat, family A (RFXANK-like), 2

基因/蛋白名称ANKRA2

标记Unconjugated

别名ANKRA

数据库入口号Swiss-Prot#: Q9H9E1
NCBI Gene ID: 57763
Gene Accssion: NP_075526

Uniprot Q9H9E1

浓度1.9mg/ml

配方Rabbit IgG in pH7.3 PBS, 0.05% NaN3, 50% Glycerol.

保存Store at -20˚C

应用详情
Immunohistochemistry: 1:25-1:100
Immunohistochemical analysis of paraffin-embedded Human colon cancer tissue using #37102 at dilution 1/50.
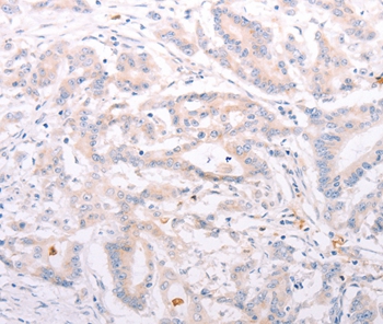
Immunohistochemical analysis of paraffin-embedded Human thyroid cancer tissue using #37102 at dilution 1/50.
This protein may facilitate endocytosis by linking megalin to components of the cytoskeleton or endocytic machinery. ANKRA2 is a megalin- and BKCa potassium channel-interacting factor. It is a protein known to interact with HDAC4 and HDAC5.ANKRA2 is important for transcriptional repression by AhRR.

如果您使用该产品37102发表了文章,请通知我们,让我们可以引用您的文献。

et al,Hybrid-Ligand Metal–Organic Frameworks Enabling Radio–Radiodynamic–Chemodynamic Therapy Primes Checkpoint Blockade Immunotherapy in Hypoxic Tumors , (2025),
PMID: 40802503

注释

应用

  • WB免疫印迹
  • IHC免疫组化
  • IF免疫荧光
  • ICC免疫细胞化学
  • FC流式细胞
  • IP免疫沉淀
  • E酶联免疫吸附法
  • DB免疫斑点法
  • ChIP染色质免疫沉淀
  • GICA胶体金免疫层析法
  • NC阴性对照

种属反应性

  • Hu
  • Ms小鼠
  • Rt大鼠
  • Dm果蝇
  • C线虫
  • Mk
  • Rb
  • B
  • D
  • P
  • Hm仓鼠
  • ChHm中国仓鼠
  • Chk
;

联系我们

Location :

南京市高新开发区星火路10号人才大厦C座

Phone :

400-9961-933
025-58868422

Email Address

info@sabbiotech.com