免费电话:400-9961-933
邮箱:info@sabbiotech.com
欢迎光临本站
川博智能体 English
位置: 首页 > 多克隆抗体 > HIST1H2AB Antibody

HIST1H2AB Antibody#37620

是否有货: 有货
产品详情

产品名称HIST1H2AB Antibody

来源种属Rabbit

克隆性Polyclonal

纯化Antigen affinity purification.

应用WB IHC

种属反应性Human;Mouse

特异性The antibody detects endogenous levels of total HIST1H2AB protein.

免疫原类型Peptide

免疫原描述Synthetic peptide corresponding to residues near the C terminal of human histone cluster 1, H2ab

基因/蛋白名称HIST1H2AB

标记Unconjugated

别名H2A/m; H2AFM

数据库入口号Swiss-Prot#: P04908
NCBI Gene ID: 8335
Gene Accssion: NP_003504

Uniprot P04908

实际分子量14kd

浓度1.5mg/ml

配方Rabbit IgG in pH7.3 PBS, 0.05% NaN3, 50% Glycerol.

保存Store at -20˚C

应用详情
Western blotting: 1:200-1:1000
Immunohistochemistry: 1:50-1:200
Gel: 10%SDS-PAGE
Lysates (from left to right): Hela, 231 and K562 cell,human fetal brain tissue
Amount of lysate: 40ug per lane
Primary antibody: 1/200 dilution
Secondary antibody dilution: 1/8000
Exposure time: 5 minutes
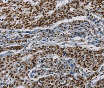
Immunohistochemical analysis of paraffin-embedded Human gastric cancer tissue using #37620 at dilution 1/20.
Histones are basic nuclear proteins that are responsible for the nucleosome structure of the chromosomal fiber in eukaryotes. This structure consists of approximately 146 bp of DNA wrapped around a nucleosome, an octamer composed of pairs of each of the four core histones (H2A, H2B, H3, and H4). The chromatin fiber is further compacted through the interaction of a linker histone, H1, with the DNA between the nucleosomes to form higher order chromatin structures. This gene is intronless and encodes a member of the histone H2A family. Transcripts from this gene lack polyA tails; instead, they contain a palindromic termination element. This gene is found in the large histone gene cluster on chromosome 6p22-p21.3.

如果您使用该产品37620发表了文章,请通知我们,让我们可以引用您的文献。

et al,DDTC-Cu (I) Nano-MOF Induces Ferroptosis by Targeting SLC7A11/GPX4 Signal in Colorectal Cancer , (2025),
PMID: 40491359

注释

应用

  • WB免疫印迹
  • IHC免疫组化
  • IF免疫荧光
  • ICC免疫细胞化学
  • FC流式细胞
  • IP免疫沉淀
  • E酶联免疫吸附法
  • DB免疫斑点法
  • ChIP染色质免疫沉淀
  • GICA胶体金免疫层析法
  • NC阴性对照

种属反应性

  • Hu
  • Ms小鼠
  • Rt大鼠
  • Dm果蝇
  • C线虫
  • Mk
  • Rb
  • B
  • D
  • P
  • Hm仓鼠
  • ChHm中国仓鼠
  • Chk
;

联系我们

Location :

南京市高新开发区星火路10号人才大厦C座

Phone :

400-9961-933
025-58868422

Email Address

info@sabbiotech.com