免费电话:400-9961-933
邮箱:info@sabbiotech.com
欢迎光临本站
川博智能体 English
位置: 首页 > 多克隆抗体 > C12orf75 Antibody

C12orf75 Antibody#37781

是否有货: 有货
产品详情

产品名称C12orf75 Antibody

来源种属Rabbit

克隆性Polyclonal

纯化Antigen affinity purification.

应用IHC

种属反应性Human

特异性The antibody detects endogenous levels of total C12orf75 protein.

免疫原类型Peptide

免疫原描述Synthetic peptide corresponding to residues near the C terminal of human chromosome 12 open reading frame 75

基因/蛋白名称C12orf75

标记Unconjugated

别名AGD3; OCC1; OCC-1

数据库入口号Swiss-Prot#: Q8TAD7
NCBI Gene ID: 387882
Gene Accssion: NP_001138671

Uniprot Q8TAD7

浓度0.6mg/ml

配方Rabbit IgG in pH7.3 PBS, 0.05% NaN3, 50% Glycerol.

保存Store at -20˚C

应用详情
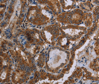
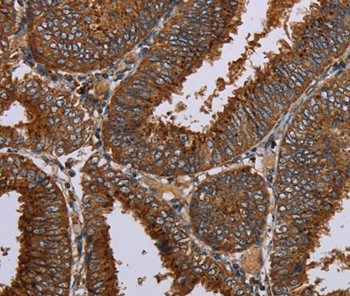
Immunohistochemistry: 1:25-1:100
Immunohistochemical analysis of paraffin-embedded Human colon cancer tissue using #37781 at dilution 1/20.
Immunohistochemical analysis of paraffin-embedded Human thyroid cancer tissue using #37781 at dilution 1/20.
C12orf75 (chromosome 12 open reading frame 75), also known as AGD3 or OCC1, is a protein that in humans is encoded by the C12orf75 gene. C12orf75 is high expression in placenta, skeletal muscle, kidney and pancreas tissues.?

如果您使用该产品37781发表了文章,请通知我们,让我们可以引用您的文献。

et al,Comprehensive integration of single-cell RNA and transcriptome RNA sequencing to establish a pyroptosis-related signature for improving prognostic prediction of gastric cancer. In Comput Struct Biotechnol J on 2024 Feb 7 by Jie Li, Tian Yu,et al..PMID:38404710 , (2024),
PMID: 38404710
et al,Comprehensive integration of single-cell RNA and transcriptome RNA sequencing to establish a pyroptosis-related signature for improving prognostic prediction of gastric cancer , (2024),
PMID:

注释

应用

  • WB免疫印迹
  • IHC免疫组化
  • IF免疫荧光
  • ICC免疫细胞化学
  • FC流式细胞
  • IP免疫沉淀
  • E酶联免疫吸附法
  • DB免疫斑点法
  • ChIP染色质免疫沉淀
  • GICA胶体金免疫层析法
  • NC阴性对照

种属反应性

  • Hu
  • Ms小鼠
  • Rt大鼠
  • Dm果蝇
  • C线虫
  • Mk
  • Rb
  • B
  • D
  • P
  • Hm仓鼠
  • ChHm中国仓鼠
  • Chk
;

联系我们

Location :

南京市高新开发区星火路10号人才大厦C座

Phone :

400-9961-933
025-58868422

Email Address

info@sabbiotech.com