免费电话:400-9961-933
邮箱:info@sabbiotech.com
欢迎光临本站
川博智能体 English
位置: 首页 > 鼠单克隆抗体 > Caspase 9 Mouse Monoclonal Antibody

Caspase 9 Mouse Monoclonal Antibody#38034

是否有货: 有货
产品详情

产品名称Caspase 9 Mouse Monoclonal Antibody

来源种属Mouse

克隆性Monoclonal

纯化Affinity purification using immunogen.

应用WB IP

种属反应性Human;Mouse;Rat

特异性Antibody detects endogenous Caspase 9 protein.

基因/蛋白名称Caspase 9

标记Unconjugated

别名APAF-3; APAF3; apoptotic protease activating factor 3; Apoptotic protease Mch-6

数据库入口号Swiss-Prot#:P55211

Uniprot P55211

实际分子量46kd

浓度1.0mg/ml

配方Mouse IgG1 in phosphate buffered saline (without Mg2+ and Ca2+), pH 7.4, 150mM NaCl, 0.02% sodium azide and 50% glycerol.

保存Store at -20˚C

应用详情
Western blotting: 1:1000~1:5000
Immunoprecipitation: 1:200
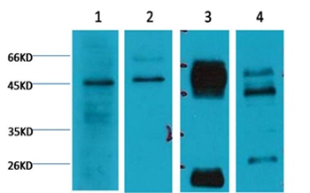
Western blot analysis of Hela cells, using #38034 diluted at 1£©1:2,000 2£©1:5,000
Western blot analysis of 1£©Jurkat, 2) HepG2, 3) Mouse Heart, 4) Rat Heart, using #38034 diluted at 1:3,000.
1¡¢Input: Hela Cell Lysate
2¡¢IP product: IP dilute 1:200
Western blot analysis: primary antibody : #38034 1:1,000
Secondary antibody: Goat anti-Mouse IgG, Light chain specific, 1:5,000
Caspase-9 is an initiator caspase, encoded by the CASP9 gene.Binding of caspase-9 to Apaf-1 leads to activation of the protease which then cleaves and activates caspase-3. Proteolytically cleaves poly(ADP-ribose) polymerase (PARP).

如果您使用该产品38034发表了文章,请通知我们,让我们可以引用您的文献。

et al,IDH1 Overexpression Induced Chemotherapy Resistance and IDH1 Mutation Enhanced Chemotherapy Sensitivity in Glioma Cells in Vitro and in Vivo , (2014),
PMID:

注释

应用

  • WB免疫印迹
  • IHC免疫组化
  • IF免疫荧光
  • ICC免疫细胞化学
  • FC流式细胞
  • IP免疫沉淀
  • E酶联免疫吸附法
  • DB免疫斑点法
  • ChIP染色质免疫沉淀
  • GICA胶体金免疫层析法
  • NC阴性对照

种属反应性

  • Hu
  • Ms小鼠
  • Rt大鼠
  • Dm果蝇
  • C线虫
  • Mk
  • Rb
  • B
  • D
  • P
  • Hm仓鼠
  • ChHm中国仓鼠
  • Chk
;

联系我们

Location :

南京市高新开发区星火路10号人才大厦C座

Phone :

400-9961-933
025-58868422

Email Address

info@sabbiotech.com