免费电话:400-9961-933
邮箱:info@sabbiotech.com
欢迎光临本站
川博智能体 English
位置: 首页 > 多克隆抗体 > COL2A1 antibody

COL2A1 antibody#38254

是否有货: Yes
产品详情

产品名称COL2A1 antibody

来源种属Rabbit

克隆性Polyclonal

亚型IgG

纯化Affinity purification

应用WB,IHC

种属反应性Human;Mouse

特异性The antibody detects endogenous level of total COL2A1 protein.

免疫原类型Recombinant Protein

免疫原描述Recombinant fusion protein of human COL2A1 (NP_149162.2).

基因/蛋白名称COL2A1

标记Unconjugated

别名COL2A1;ANFH;AOM;COL11A3;SEDC;STL1

数据库入口号Uniprot:P02458
GeneID:1280

Uniprot P02458

Gene ID 1280

实际分子量141kDa

浓度1.0mg/ml

配方PBS with 0.02% sodium azide,50% glycerol,pH7.3.

保存Store at -20˚C. Avoid freeze / thaw cycles.

应用详情
WB 1:500 - 1:2000
IHC 1:50 - 1:200
Western blot analysis of extracts of mouse liver, using COL2A1 antibody.
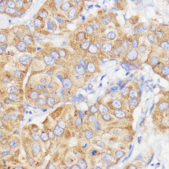
Immunohistochemistry of paraffin-embedded Human breast cancer using COL2A1 Rabbit pAb.
This gene encodes the alpha-1 chain of type II collagen, a fibrillar collagen found in cartilage and the vitreous humor of the eye. Mutations in this gene are associated with achondrogenesis, chondrodysplasia, early onset familial osteoarthritis, SED congenita, Langer-Saldino achondrogenesis, Kniest dysplasia, Stickler syndrome type I, and spondyloepimetaphyseal dysplasia Strudwick type. In addition, defects in processing chondrocalcin, a calcium binding protein that is the C-propeptide of this collagen molecule, are also associated with chondrodysplasia. There are two transcripts identified for this gene.

如果您使用该产品38254发表了文章,请通知我们,让我们可以引用您的文献。

et al,Blocking ACSL6 Compromises Autophagy via FLI1‐Mediated Downregulation of COLs to Radiosensitize Lung Cancer. In Adv Sci (Weinh) on 2024 Oct by Wen Ding, Shijun Bao,et al..PMID:39206814 , (2024),
PMID: 39206814

注释

应用

  • WB免疫印迹
  • IHC免疫组化
  • IF免疫荧光
  • ICC免疫细胞化学
  • FC流式细胞
  • IP免疫沉淀
  • E酶联免疫吸附法
  • DB免疫斑点法
  • ChIP染色质免疫沉淀
  • GICA胶体金免疫层析法
  • NC阴性对照

种属反应性

  • Hu
  • Ms小鼠
  • Rt大鼠
  • Dm果蝇
  • C线虫
  • Mk
  • Rb
  • B
  • D
  • P
  • Hm仓鼠
  • ChHm中国仓鼠
  • Chk
;

联系我们

Location :

南京市高新开发区星火路10号人才大厦C座

Phone :

400-9961-933
025-58868422

Email Address

info@sabbiotech.com