免费电话:400-9961-933
邮箱:info@sabbiotech.com
欢迎光临本站
川博智能体 English
位置: 首页 > 多克隆抗体 > CX3CR1 antibody

CX3CR1 antibody#38481

是否有货: Yes
产品详情

产品名称CX3CR1 antibody

来源种属Rabbit

克隆性Polyclonal

亚型IgG

纯化Affinity purification

应用WB,IHC,IF

种属反应性Human;Mouse;Rat

特异性The antibody detects endogenous level of total CX3CR1 protein.

免疫原类型Peptide

免疫原描述A synthetic peptide of human CX3CR1

基因/蛋白名称CX3CR1

标记Unconjugated

别名CX3CR1;CCRL1;CMKBRL1;CMKDR1;GPR13;GPRV28;V28

数据库入口号Uniprot:P49238
GeneID:1524

Uniprot P49238

Gene ID 1524

实际分子量52KDa

浓度1.0mg/ml

配方PBS with 0.02% sodium azide,50% glycerol,pH7.3.

保存Store at -20˚C. Avoid freeze / thaw cycles.

应用详情
WB 1:500 - 1:2000
IHC 1:50 - 1:200
IF 1:50 - 1:200
Western blot analysis of extracts of various cell lines, using CX3CR1 antibody.
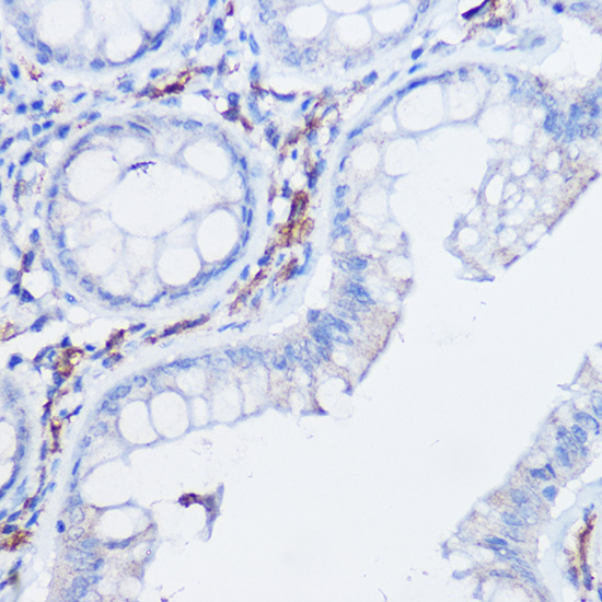
Immunohistochemistry of paraffin-embedded human colon carcinoma using CX3CR1 Rabbit pAb.
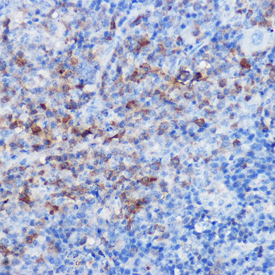
Immunohistochemistry of paraffin-embedded rat spleen using CX3CR1 Rabbit pAb.
Immunofluorescence analysis of THP-1 cells using CX3CR1 Rabbit pAb.
Fractalkine is a transmembrane protein and chemokine involved in the adhesion and migration of leukocytes. The protein encoded by this gene is a receptor for fractalkine. The encoded protein also is a coreceptor for HIV-1, and some variations in this gene lead to increased susceptibility to HIV-1 infection and rapid progression to AIDS. Four transcript variants encoding two different isoforms have been found for this gene.

如果您使用该产品38481发表了文章,请通知我们,让我们可以引用您的文献。

et al,Dysregulated expression of miR-140 and miR122 compromised microglial chemotaxisand led to reduced restriction of ADpathology , (2024),
PMID:
et al,Dysregulated expression of miR-140 and miR-122 compromised microglial chemotaxis and led to reduced restriction of AD pathology , (2024),
PMID:

注释

应用

  • WB免疫印迹
  • IHC免疫组化
  • IF免疫荧光
  • ICC免疫细胞化学
  • FC流式细胞
  • IP免疫沉淀
  • E酶联免疫吸附法
  • DB免疫斑点法
  • ChIP染色质免疫沉淀
  • GICA胶体金免疫层析法
  • NC阴性对照

种属反应性

  • Hu
  • Ms小鼠
  • Rt大鼠
  • Dm果蝇
  • C线虫
  • Mk
  • Rb
  • B
  • D
  • P
  • Hm仓鼠
  • ChHm中国仓鼠
  • Chk
;

联系我们

Location :

南京市高新开发区星火路10号人才大厦C座

Phone :

400-9961-933
025-58868422

Email Address

info@sabbiotech.com